Инкрустированная опухоль холедоха
- KsV
- Администратор
- Сообщения: 2189
- Зарегистрирован: 22 фев 2009, 13:38
- Откуда: Беларусь-Lietuva
- Контактная информация:
Инкрустированная опухоль холедоха
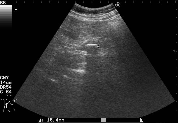
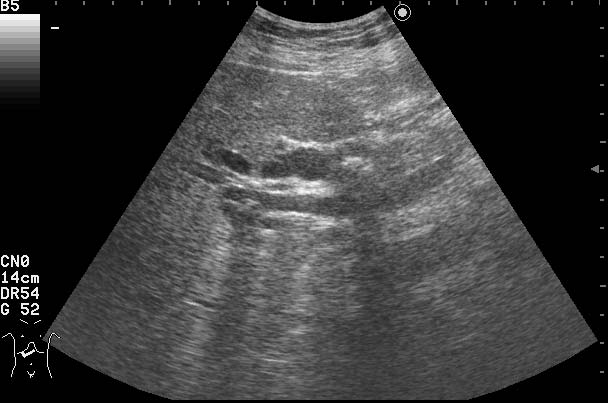
Женщина 70-ти лет с бессимптомной желтухой.
Сонограммы холедоха:
Ваше заключение?
Сонограммы холедоха:
Ваше заключение?
Re: Женщина 70-ти лет с желтухой
А это не холедохолитиаз (механическая желтуха) 
Re: Женщина 70-ти лет с желтухой
На верхнем снимке можно предположить внутрипросветную опухоль в холедохе.
Re: Женщина 70-ти лет с желтухой
А где желчный пузырь?
- KsV
- Администратор
- Сообщения: 2189
- Зарегистрирован: 22 фев 2009, 13:38
- Откуда: Беларусь-Lietuva
- Контактная информация:
Re: Женщина 70-ти лет с желтухой
Вне скана.zubr писал(а):А где желчный пузырь?
- KsV
- Администратор
- Сообщения: 2189
- Зарегистрирован: 22 фев 2009, 13:38
- Откуда: Беларусь-Lietuva
- Контактная информация:
Re: Женщина 70-ти лет с желтухой
В сущности, ответ правильный уже был - это опухоль холедоха с инкрустацией ее ткани.
Благодаря такой необычной презентации опухоль была ошибочно принята за камень холедоха.
Бывает..
В архив.
Благодаря такой необычной презентации опухоль была ошибочно принята за камень холедоха.
Бывает..
В архив.
Re: Инкрустированная опухоль холедоха
Спасибо!Очень интересный случай,смотрю уже который раз.Можно ошибиться,но "камень"обволочен мягкотканной структурой-гипоэхогеной,раздвигая стенки коледоха,типа "веретено".Так,что коллега права-опухоль
Кто сейчас на конференции
Сейчас этот форум просматривают: нет зарегистрированных пользователей и 1 гость