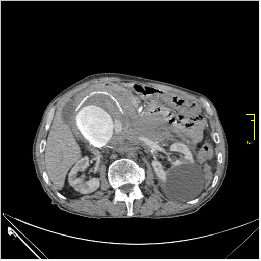
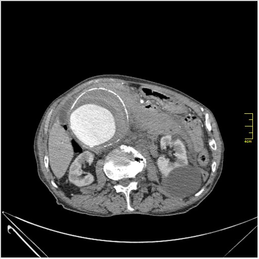
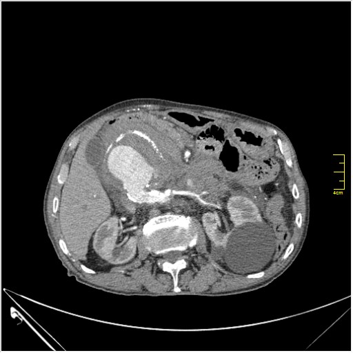
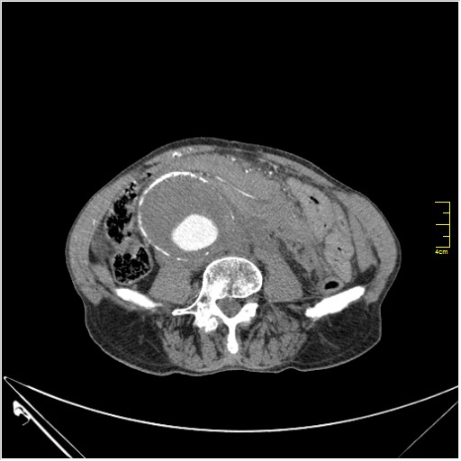
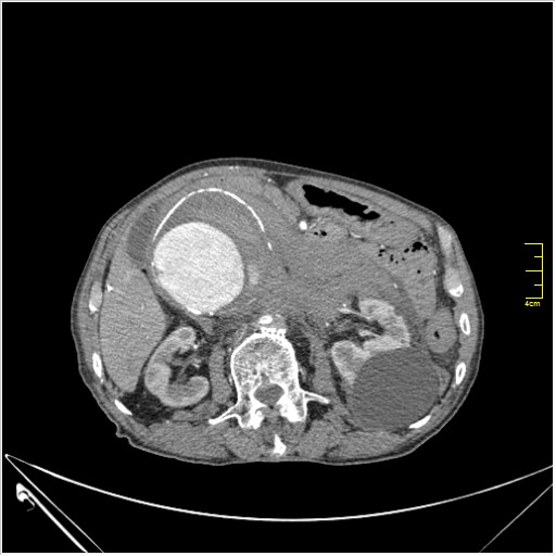
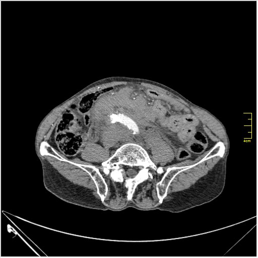
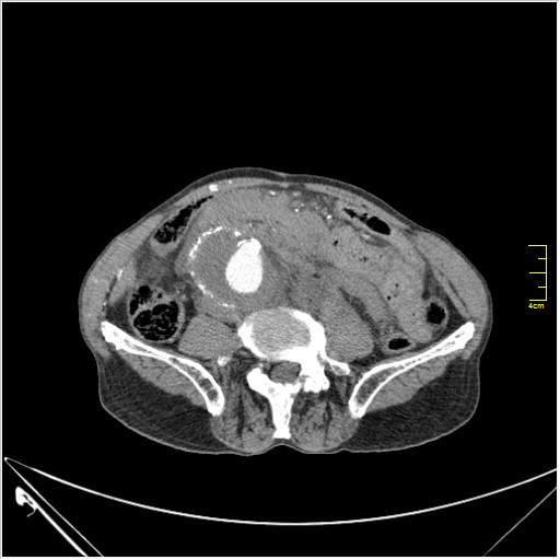
КТ брюшной полости. Мужчина с пальпируемой опухолью в животе

Аорта и НПВ. Периферические артерии и вены.
Только верифицированые изображения
Ответить
Аватара пользователя
Dr.Mario
Эксперт
Сообщения: 160
Зарегистрирован: 17 мар 2009, 07:36
Контактная информация:

КТ брюшной полости. Мужчина с пальпируемой опухолью в животе

Сообщение Dr.Mario »

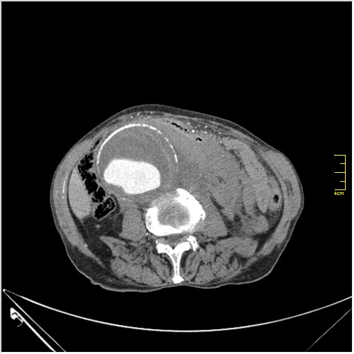
Пациент Т. 64 года, обратился на КТ брюшной полости амбулаторно (!), по направлению семейного врача с диагнозом abdominal mass, буквально: образование брюшной полости.
Вложения
Angio0.JPG
Angio1.JPG
Angio2.JPG
Angio3.JPG
Angio4.JPG
Angio5.JPG
Angio6.JPG
Angio7.JPG
Angio8.JPG
Angio9.JPG
Angio10.JPG
Angio11.JPG
Angio12.JPG
Angio13.JPG
Angio14.JPG
Angio15.JPG
Angio16.JPG
Let me see...
www.radiographia.ru
А.М.Шифрин
Сообщения: 60
Зарегистрирован: 12 апр 2009, 18:41
Контактная информация:

Re: КТ брюшной полости. Мужчина с пальпируемой опухолью в животе

Сообщение А.М.Шифрин »

ТУберкулез позвоночника с обширной деструкцией и с натечником (Вообще-то, я КТ не занимаюсь. Была бы УЗ картинка...)
Аватара пользователя
KsV
Администратор
Сообщения: 2191
Зарегистрирован: 22 фев 2009, 13:38
Откуда: Беларусь-Lietuva
Контактная информация:

Re: КТ брюшной полости. Мужчина с пальпируемой опухолью в животе

Сообщение KsV »

О, ужас!

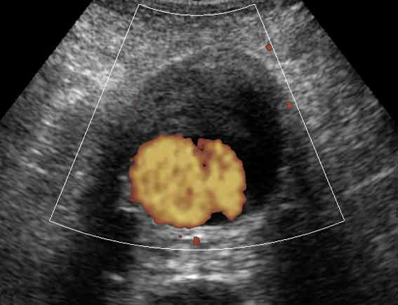
Александр Маркович, на УЗИ в поперечном сканировании ЭТО может выглядеть примерно так:
Вложения
1.jpg
Аватара пользователя
KsV
Администратор
Сообщения: 2191
Зарегистрирован: 22 фев 2009, 13:38
Откуда: Беларусь-Lietuva
Контактная информация:

Re: КТ брюшной полости. Мужчина с пальпируемой опухолью в животе

Сообщение KsV »

Uzgraph писал(а):Случай интересный - ногу сломишь. Вроде бы анефризма брюшной аорты(особенно по УЗИ), но что тогда за образования сидят на левой почке - онкология?
ИМХО простые кисты.
А.М.Шифрин
Сообщения: 60
Зарегистрирован: 12 апр 2009, 18:41
Контактная информация:

Re: КТ брюшной полости. Мужчина с пальпируемой опухолью в животе

Сообщение А.М.Шифрин »

KapustinSV писал(а): ...на УЗИ в поперечном сканировании ЭТО может выглядеть примерно так:
Ну, это ж совсем другое дело!!!
Аватара пользователя
KsV
Администратор
Сообщения: 2191
Зарегистрирован: 22 фев 2009, 13:38
Откуда: Беларусь-Lietuva
Контактная информация:

Re: КТ брюшной полости. Мужчина с пальпируемой опухолью в животе

Сообщение KsV »

А.М.Шифрин писал(а):
KapustinSV писал(а): ...на УЗИ в поперечном сканировании ЭТО может выглядеть примерно так:
Ну, это ж совсем другое дело!!!
Ну да. ;)
В архив.
Ответить

Вернуться в «Cосуды»

Кто сейчас на конференции

Сейчас этот форум просматривают: нет зарегистрированных пользователей и 1 гость