Почка: "рак в кисте" #1

Почки, мочеточники, мочевой пузырь, уретра. Простата и яички.

Модератор: KsV

Ответить
Аватара пользователя
KsV
Администратор
Сообщения: 2189
Зарегистрирован: 22 фев 2009, 13:38
Откуда: Беларусь-Lietuva
Контактная информация:

Почка: "рак в кисте" #1

Сообщение KsV »

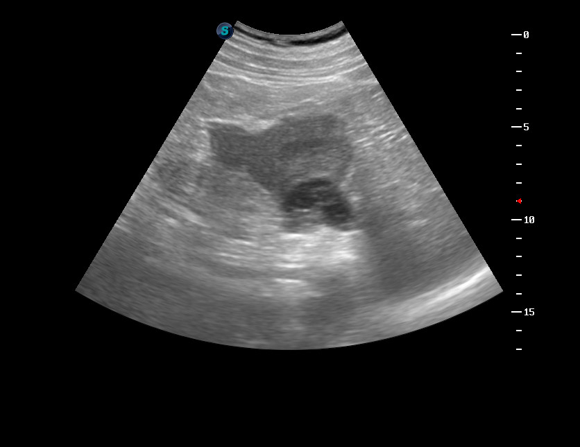
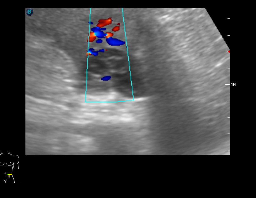
Мужчина 50 лет, жалоб не предъявляет.
В нижнем полюсе левой почки обнаружена киста с солидным внутренним компонентом. Предположена опухоль в кисте.
КТ - киста Bosniak III.
Выполнена резекция опухоли.
Гистологически - светлоклеточная карцинома.
20181123_102722_31.jpg
20181123_101817_25.jpg
phpBB [video]
Ответить

Вернуться в «Уронефрологические исследования»

Кто сейчас на конференции

Сейчас этот форум просматривают: нет зарегистрированных пользователей и 1 гость