Травма

Только верифицированые изображения
w.Thyme
Сообщения: 143
Зарегистрирован: 24 апр 2010, 17:46

Re: Травма

Сообщение w.Thyme »

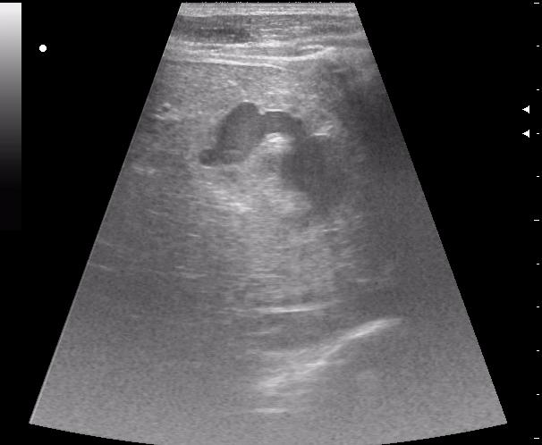
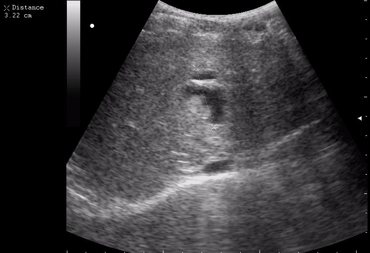
конец рабочего дня тоже "порадовал". Травма об руль велосипеда.
Вложения
30 мин. после травмы
30 мин. после травмы
31784.JPG
31788.JPG
12-перстная, несмотря на свой пугающий вид, целая
12-перстная, несмотря на свой пугающий вид, целая
Лилия
Сообщения: 25
Зарегистрирован: 24 ноя 2009, 09:36
Контактная информация:

Re: Травма

Сообщение Лилия »

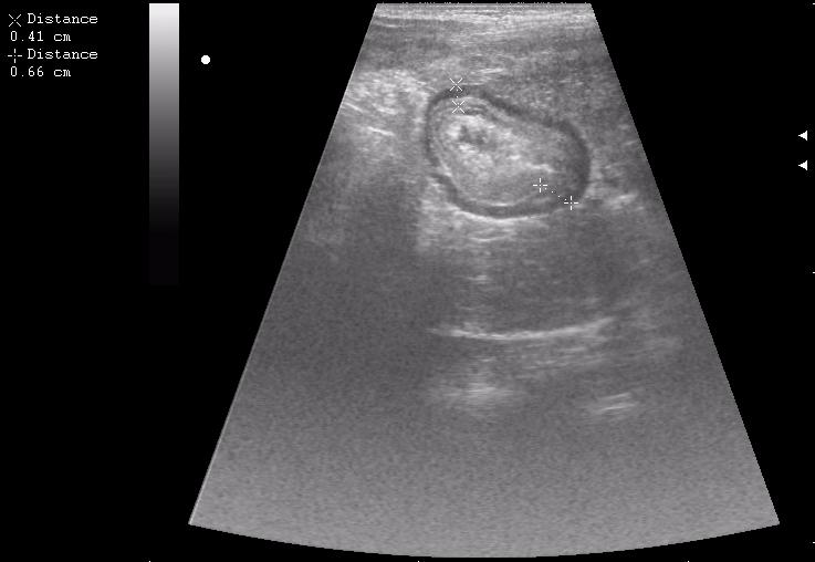
По поводу "разможжения" ткани паренхиматозного органа при травме. Скорее всего-это участки попитывания кровью,т.н. имбибиция.
Ответить

Вернуться в «Исследования в педиатрии»

Кто сейчас на конференции

Сейчас этот форум просматривают: нет зарегистрированных пользователей и 0 гостей