УЗИ панкреас - опухоль тела
Re: УЗИ панкреас
"Я в размышлениях: что могло бы подсказать нам правильный диагноз по картинке только панкреас?"
Видимо только отсутствие УЗИ-динамики. А так онкомаркер СА 19-9, и в крайнем случае лапароскопия либо лапаротомия с ИОУЗИ и биопсией. Вероятно УЗИ картина обусловлена воспалительной реакцией ПЖ- периопухолевый инфильтрат.
Видимо только отсутствие УЗИ-динамики. А так онкомаркер СА 19-9, и в крайнем случае лапароскопия либо лапаротомия с ИОУЗИ и биопсией. Вероятно УЗИ картина обусловлена воспалительной реакцией ПЖ- периопухолевый инфильтрат.
Re: УЗИ панкреас
А доплер не пробовали ставить? В литературе пишут один из признаков злокачественной опухоли ПЖ отсутствие кровотока в опухолевом узле размером до 5 см по данным ЦДК и ИД
- KsV
- Администратор
- Сообщения: 2191
- Зарегистрирован: 22 фев 2009, 13:38
- Откуда: Беларусь-Lietuva
- Контактная информация:
Re: УЗИ панкреас
Нет, у меня не сложилось впечатление что доплеровское исследование помогает в диагостике опухолей панкреас.
Вообще-то это проблема в бОльшей степени от нищеты, так как при наличии острого живота правильным является выполнение КТ с контрастированием и, затем, после обнаружения опухоли, - проведение чрезкожной биопсии. После КТ оценивается дальнее и местное распространение опухоли. Для оценки местного распространения и операбельности часто проводится одновременное лапароскопическое и лапороскопическое ультразвуковое исследования.
И всё-таки есть УЗ-признак, позволяющий предположить опухоль.
Вообще-то это проблема в бОльшей степени от нищеты, так как при наличии острого живота правильным является выполнение КТ с контрастированием и, затем, после обнаружения опухоли, - проведение чрезкожной биопсии. После КТ оценивается дальнее и местное распространение опухоли. Для оценки местного распространения и операбельности часто проводится одновременное лапароскопическое и лапороскопическое ультразвуковое исследования.
И всё-таки есть УЗ-признак, позволяющий предположить опухоль.
Re: УЗИ панкреас
Пересматривал УЗИ-ролик. Видимо больше внимания следовало уделить расширению вирсунгова протока выше проксимальной границы образования.
- KsV
- Администратор
- Сообщения: 2191
- Зарегистрирован: 22 фев 2009, 13:38
- Откуда: Беларусь-Lietuva
- Контактная информация:
Re: УЗИ панкреас
Ну вот, закон "парных случаев".
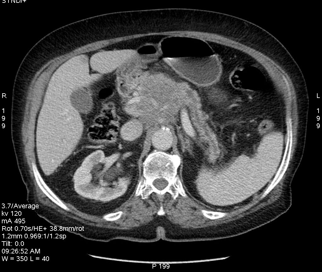
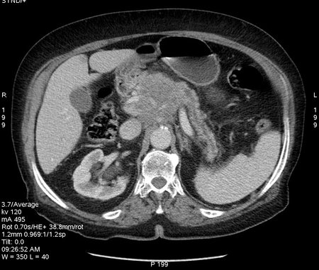
Пожилая женщина с болями в эпигастральной области.
Тумор тела с прорастанием в чревный ствол и верхние мезентериальные сосуды.
Продольное сканирование панкреас
Поперечное сканирование панкреас на уровне ее тела
Пожилая женщина с болями в эпигастральной области.
Тумор тела с прорастанием в чревный ствол и верхние мезентериальные сосуды.
Продольное сканирование панкреас
Поперечное сканирование панкреас на уровне ее тела
- KsV
- Администратор
- Сообщения: 2191
- Зарегистрирован: 22 фев 2009, 13:38
- Откуда: Беларусь-Lietuva
- Контактная информация:
Re: УЗИ панкреас
porfirij писал(а):Пересматривал УЗИ-ролик. Видимо больше внимания следовало уделить расширению вирсунгова протока выше проксимальной границы образования.
Нет, я всегда ищу парапанкреатическую воспалительную реакцию при ОП.
Re: УЗИ панкреас
Да, но ведь не всегда отек парапанкреатической клетчатки мы видим вначале ... иногда он "вылазит" через несколько дней. А ,например, при поступлении может быть только увеличение размеров pancreas и снижение эхогенности....KapustinSV писал(а): Нет, я всегда ищу парапанкреатическую воспалительную реакцию при ОП.
Re: УЗИ панкреас - опухоль тела
По поводу последних роликов - первое, что приходит в голову - ОПУХОЛЬ?!
, чего нельзя сказать по первоначальному ролику- там все-таки первая "мысля"-о.панкреатит.... 
- KsV
- Администратор
- Сообщения: 2191
- Зарегистрирован: 22 фев 2009, 13:38
- Откуда: Беларусь-Lietuva
- Контактная информация:
Re: УЗИ панкреас
Обычно уже есть в первые сутки.Инга писал(а):Да, но ведь не всегда отек парапанкреатической клетчатки мы видим вначале ... иногда он "вылазит" через несколько дней. А ,например, при поступлении может быть только увеличение размеров pancreas и снижение эхогенности....KapustinSV писал(а): Нет, я всегда ищу парапанкреатическую воспалительную реакцию при ОП.
Кто сейчас на конференции
Сейчас этот форум просматривают: Semrush [Bot] и 1 гость