УЗИ: уретеролитиаз, уринома и нет гидронефроза
Модератор: KsV
- valeriy.andilevko
- Сообщения: 194
- Зарегистрирован: 01 мар 2011, 19:34
- Откуда: Витебск
- Контактная информация:
Re: УЗИ левой почки
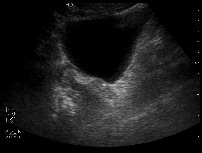
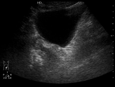
Конкремент в юкставезикальном отделе мочеточника. Пиелонефрит . Субкапсулярный выпот.
- KsV
- Администратор
- Сообщения: 2189
- Зарегистрирован: 22 фев 2009, 13:38
- Откуда: Беларусь-Lietuva
- Контактная информация:
Re: УЗИ левой почки
Да, МКБ,конкремент юкставезикального отдела мочетоника.
Выпот находится не под капсулой почки, а в периренальном пространстве в самой нижней точке человека прямоходящего.
Особенность этого случая заключается в том,что достаточно выраженные боли не сопровождались расширением ЧЛС, поэтому формула "отсутствие расширения ЧЛС на высоте болей практически исключает уретеролитиаз" здесь оказалась нерабочей.
Но это первый случай лет за 20.
Проводить инспекцию мочеточника пришлось из-за изменений почки - выпота и повышения эхогенности патенхимы. Как вариант рассматривался тромбоз ПА, но доплерографически он был исключен.
В общем-то, редкий случай.
Выпот находится не под капсулой почки, а в периренальном пространстве в самой нижней точке человека прямоходящего.
Особенность этого случая заключается в том,что достаточно выраженные боли не сопровождались расширением ЧЛС, поэтому формула "отсутствие расширения ЧЛС на высоте болей практически исключает уретеролитиаз" здесь оказалась нерабочей.
Но это первый случай лет за 20.
Проводить инспекцию мочеточника пришлось из-за изменений почки - выпота и повышения эхогенности патенхимы. Как вариант рассматривался тромбоз ПА, но доплерографически он был исключен.
В общем-то, редкий случай.
Re: УЗИ левой почки
Камень-то поймали?
- KsV
- Администратор
- Сообщения: 2189
- Зарегистрирован: 22 фев 2009, 13:38
- Откуда: Беларусь-Lietuva
- Контактная информация:
Re: УЗИ левой почки
Пациент уехал в другую больницу.Брехт писал(а):Камень-то поймали?
Есть сомнения в диагнозе?
Re: УЗИ левой почки
Самую малость
- KsV
- Администратор
- Сообщения: 2189
- Зарегистрирован: 22 фев 2009, 13:38
- Откуда: Беларусь-Lietuva
- Контактная информация:
Re: УЗИ левой почки
Не видите камня в юкставезикальном отделе мочеточника, предполагаете что это не камень и не в мочеточнике, считаете что это другая патология почки, - что смущает? )
Re: УЗИ левой почки
Вокруг камни есть и отёчные стенки мочеточника?; или я допридумываю
- KsV
- Администратор
- Сообщения: 2189
- Зарегистрирован: 22 фев 2009, 13:38
- Откуда: Беларусь-Lietuva
- Контактная информация:
Re: УЗИ левой почки
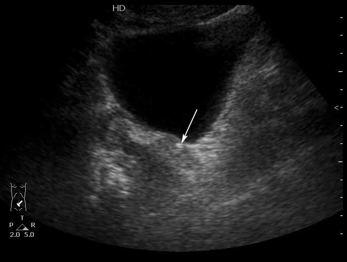
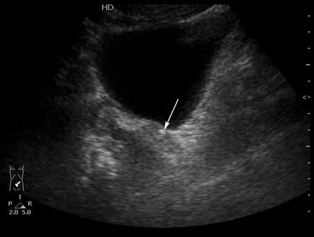
Конкремент в юкставезикальном отделе мочеточника - стрелка.Брехт писал(а):Вокруг камни есть и отёчные стенки мочеточника?; или я допридумываю
Стенки мочеточника без существенных изменений.
Re: УЗИ левой почки
Как вы объясняете отек около почечного пространства ?
http://endosono.ru
*****************************************
Странный этот мир, в котором двое смотрят на одно и тоже, а видят разное.
Агата Кристи.
*****************************************
Странный этот мир, в котором двое смотрят на одно и тоже, а видят разное.
Агата Кристи.
Кто сейчас на конференции
Сейчас этот форум просматривают: Semrush [Bot] и 1 гость