Страница 1 из 1
Инкрустированная опухоль холедоха
Добавлено: 28 ноя 2009, 22:42
KsV
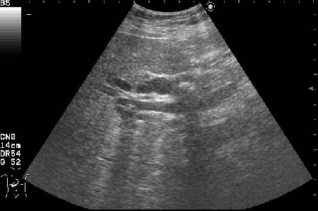
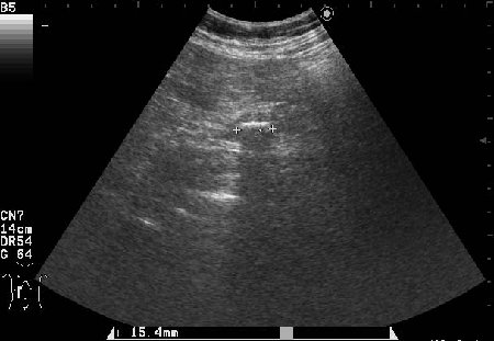
Женщина 70-ти лет с бессимптомной желтухой.
Сонограммы холедоха:

- Продольный скан холедоха

- Поперечный скан холедоха
Ваше заключение?
Re: Женщина 70-ти лет с желтухой
Добавлено: 30 ноя 2009, 22:48
Инга
А это не холедохолитиаз (механическая желтуха)

Re: Женщина 70-ти лет с желтухой
Добавлено: 02 дек 2009, 14:39
Лилия
На верхнем снимке можно предположить внутрипросветную опухоль в холедохе.
Re: Женщина 70-ти лет с желтухой
Добавлено: 02 дек 2009, 22:57
zubr
А где желчный пузырь?
Re: Женщина 70-ти лет с желтухой
Добавлено: 03 дек 2009, 08:54
KsV
zubr писал(а):А где желчный пузырь?
Вне скана.
Re: Женщина 70-ти лет с желтухой
Добавлено: 03 дек 2009, 15:45
KsV
В сущности, ответ правильный уже был - это опухоль холедоха с инкрустацией ее ткани.
Благодаря такой необычной презентации опухоль была ошибочно принята за камень холедоха.
Бывает..
В архив.
Re: Инкрустированная опухоль холедоха
Добавлено: 29 дек 2009, 08:30
besliu
Спасибо!Очень интересный случай,смотрю уже который раз.Можно ошибиться,но "камень"обволочен мягкотканной структурой-гипоэхогеной,раздвигая стенки коледоха,типа "веретено".Так,что коллега права-опухоль