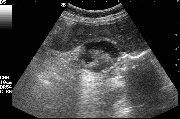
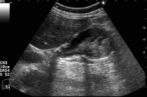
ЖКБ. Эмпиема желчного пузыря.

Печень, желчный пузырь, поджелудочная железа, селезенка. Кишечник.
Только верифицированые изображения
Ответить
Аватара пользователя
KsV
Администратор
Сообщения: 2191
Зарегистрирован: 22 фев 2009, 13:38
Откуда: Беларусь-Lietuva
Контактная информация:

ЖКБ. Эмпиема желчного пузыря.

Сообщение KsV »

Женщина 70 лет с болями в правом подреберье и интоксикацией.
AACL.jpg
AACK.jpg
Лилия
Сообщения: 25
Зарегистрирован: 24 ноя 2009, 09:36
Контактная информация:

Re: УЗИ желчного пузыря пожилой дамы

Сообщение Лилия »

Острый калькулезный холецистит,осложненный эмпиемой. Второй вариант-"замазкообразная"желчь в просвете воспаленного пузыря.
Аватара пользователя
KsV
Администратор
Сообщения: 2191
Зарегистрирован: 22 фев 2009, 13:38
Откуда: Беларусь-Lietuva
Контактная информация:

Re: УЗИ желчного пузыря пожилой дамы

Сообщение KsV »

Лилия писал(а):Острый калькулезный холецистит,осложненный эмпиемой. Второй вариант-"замазкообразная"желчь в просвете воспаленного пузыря.
Первый вариант мне нравится больше.
Второй маловероятен в связи с описанной клиникой.

О.обструктивный калькулезный холецистит. Эмпиема желчного пузыря.
Лилия
Сообщения: 25
Зарегистрирован: 24 ноя 2009, 09:36
Контактная информация:

Re: УЗИ желчного пузыря пожилой дамы

Сообщение Лилия »

Поверьте,бывает и второй вариант, если предположить,что сладж образовался раньше воспалительных изменений. В дифф.ряд теперь ставлю.
Аватара пользователя
KsV
Администратор
Сообщения: 2191
Зарегистрирован: 22 фев 2009, 13:38
Откуда: Беларусь-Lietuva
Контактная информация:

Re: УЗИ желчного пузыря пожилой дамы

Сообщение KsV »

Лилия писал(а):Поверьте,бывает и второй вариант, если предположить,что сладж образовался раньше воспалительных изменений. В дифф.ряд теперь ставлю.
Не поверю. Никогда и ни за что. Что тут предполагать в ситуации с камнем в шейке желчного пузыря?
В архив.
besliu
Сообщения: 142
Зарегистрирован: 11 окт 2009, 08:31
Контактная информация:

Re: ЖКБ. Эмпиема желчного пузыря.

Сообщение besliu »

Но,и первый вариант возможен,стенка дна ж.пузыря НЕЦЕЛАЯ,возможна перфорация.
Аватара пользователя
KsV
Администратор
Сообщения: 2191
Зарегистрирован: 22 фев 2009, 13:38
Откуда: Беларусь-Lietuva
Контактная информация:

Re: ЖКБ. Эмпиема желчного пузыря.

Сообщение KsV »

besliu писал(а):Но,и первый вариант возможен,стенка дна ж.пузыря НЕЦЕЛАЯ,возможна перфорация.
Вот иманна! (с)-Хрюн Моржов
Ответить

Вернуться в «Абдоминальные исследования»

Кто сейчас на конференции

Сейчас этот форум просматривают: нет зарегистрированных пользователей и 1 гость