Ad blocker detected: Our website is made possible by displaying online advertisements to our visitors. Please consider supporting us by disabling your ad blocker on our website.
Печень, желчный пузырь, поджелудочная железа, селезенка. Кишечник.
Только верифицированые изображения
Dr Alex
Сообщения: 19 Зарегистрирован: 31 окт 2010, 11:02
Контактная информация:
Сообщение
Dr Alex » 14 ноя 2010, 16:39
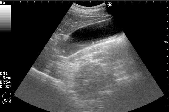
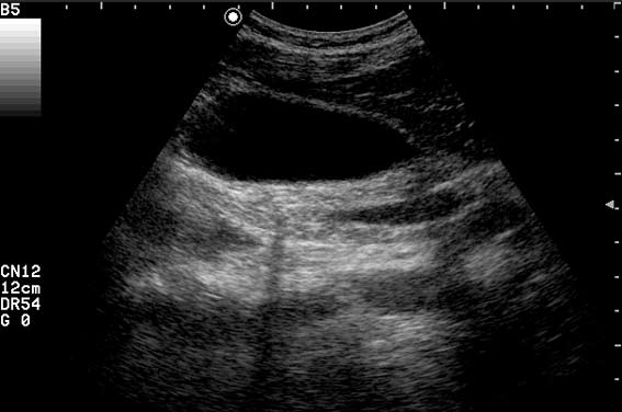
Пациент с приступом резких болей в животе, тошнотой, рвотой.
Вложения
Алекс-Юстасу.
ov-rus
Сообщения: 4 Зарегистрирован: 10 авг 2010, 13:01
Контактная информация:
Сообщение
ov-rus » 20 ноя 2010, 21:59
может это сладж?
KsV
Администратор
Сообщения: 2189 Зарегистрирован: 22 фев 2009, 13:38
Откуда: Беларусь-Lietuva
Контактная информация:
Сообщение
KsV » 03 май 2011, 18:40
"Горошек" в пузыре и холедохе.
Sly
Сообщения: 13 Зарегистрирован: 06 окт 2009, 19:17
Контактная информация:
Сообщение
Sly » 14 май 2011, 07:58
Пожелтеть не успел? )
Dr Alex
Сообщения: 19 Зарегистрирован: 31 окт 2010, 11:02
Контактная информация:
Сообщение
Dr Alex » 02 окт 2012, 07:15
Да, ЖКБ, ходедохолитиаз, холецистолитиаз
Алекс-Юстасу.
Сейчас этот форум просматривают: нет зарегистрированных пользователей и 1 гость