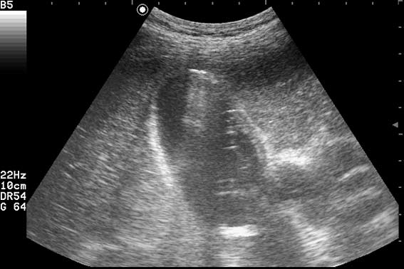
УЗИ Острый эмфизематозный холецистит. Эмпиема.

Печень, желчный пузырь, поджелудочная железа, селезенка. Кишечник.
Только верифицированые изображения
Ответить
Аватара пользователя
Dr Alex
Сообщения: 19
Зарегистрирован: 31 окт 2010, 11:02
Контактная информация:

УЗИ Острый эмфизематозный холецистит. Эмпиема.

Сообщение Dr Alex »

Пациент поступил в хирургическое отделение с жалобами на боли в правом подреберье и эпигастрии, повышение температуры. Болен 4 дня.
Вложения
AAFV5.jpg
Алекс-Юстасу.
Аватара пользователя
Инга
Сообщения: 216
Зарегистрирован: 23 ноя 2009, 17:22
Контактная информация:

Re: УЗИ желчного

Сообщение Инга »

Острый эмфизематозный холецистит. Эмпиема ЖП. Паравезикул. абсцесс??? :roll:
Аватара пользователя
Dr Alex
Сообщения: 19
Зарегистрирован: 31 окт 2010, 11:02
Контактная информация:

Re: УЗИ желчного

Сообщение Dr Alex »

Да.
Вы знали!
Алекс-Юстасу.
Аватара пользователя
Инга
Сообщения: 216
Зарегистрирован: 23 ноя 2009, 17:22
Контактная информация:

Re: УЗИ желчного

Сообщение Инга »

Да, я стараюсь внимательно следить за постами на сайте, это уже где то было ;)
Ответить

Вернуться в «Абдоминальные исследования»

Кто сейчас на конференции

Сейчас этот форум просматривают: нет зарегистрированных пользователей и 1 гость