Необычная презентация гемангиомы печени
Необычная презентация гемангиомы печени
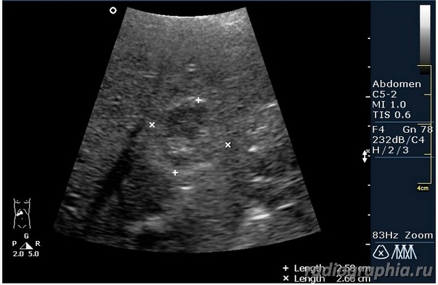
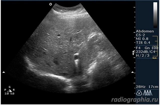
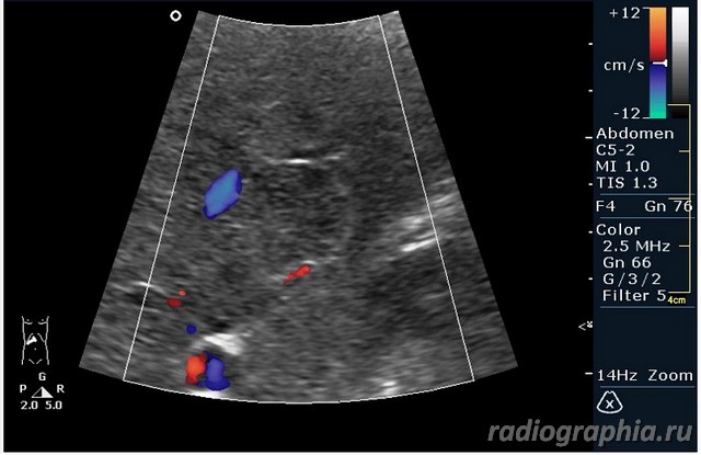
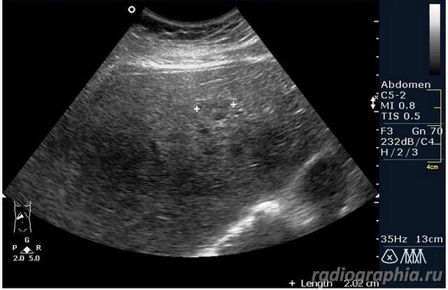
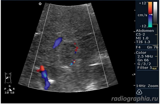
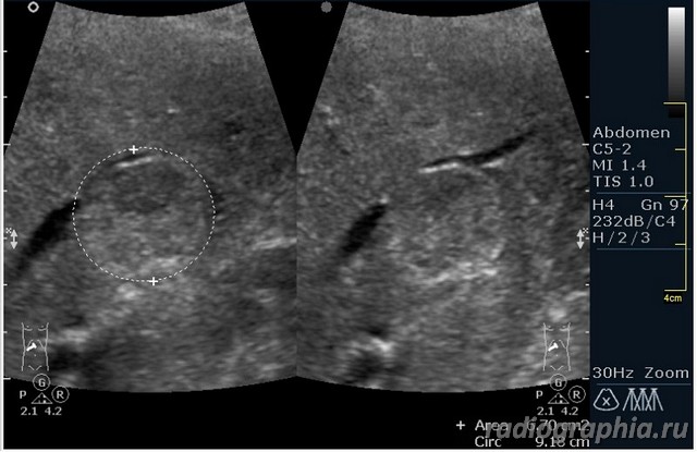
УЗИ печени. Женщина 37 лет. Жалобы на боли в эпигастрии; в печени обнаружено такое образование...
Re: УЗИ печени. Женщина 37 лет.
узловая гиперплазия
Re: УЗИ печени. Женщина 37 лет.
Аргументируйте пожалуйста ваше заключение?
Re: УЗИ печени. Женщина 37 лет.
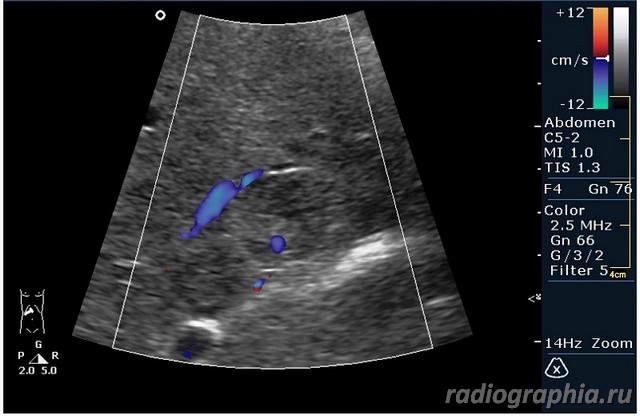
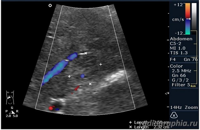
Считаю,что это опухоль,имеет неоднородную структуру,четкий контур,прорастает в сосуд(есть один такой скан) И,вообще,вся поверхность печени НЕСПОКОЙНАЯ,могут быть мелкие МТ.Интересно,что на КТ?
-
андрей копанько
- Сообщения: 8
- Зарегистрирован: 15 янв 2010, 16:52
- Контактная информация:
Re: УЗИ печени. Женщина 37 лет.
так и хочется назвать это метастазами но уж очень они красивые и доброжелательние по структуре (изоехогенные по отношению к структуре печени) и они больше компресирують чем проростают, склонен к ответу о доброкачественной гиперплазии. так что же на КТ?
Re: УЗИ печени. Женщина 37 лет.
Так что же это,уже пора открыть тайну 
Re: УЗИ печени. Женщина 37 лет.
гемангиома,рядом питающий сосуд
- KsV
- Администратор
- Сообщения: 2191
- Зарегистрирован: 22 фев 2009, 13:38
- Откуда: Беларусь-Lietuva
- Контактная информация:
Re: УЗИ печени. Женщина 37 лет.
Мне тоже нравится версия, что это - гемангиома.Нелли писал(а):гемангиома,рядом питающий сосуд
Re: УЗИ печени. Женщина 37 лет.
Спсибо,но...вся печень какая-то неоднородная.
Кто сейчас на конференции
Сейчас этот форум просматривают: нет зарегистрированных пользователей и 1 гость