Страница 1 из 1

УЗИ: тромбоз инфраренального отдела аорты

Добавлено: 01 авг 2012, 12:29
KsV
Пожилая женщина, поступила в БСМП с резкими болями в ногах. Пульс на бедренных артериях отсутствует.
Поперечный скан аорты
Поперечный скан аорты
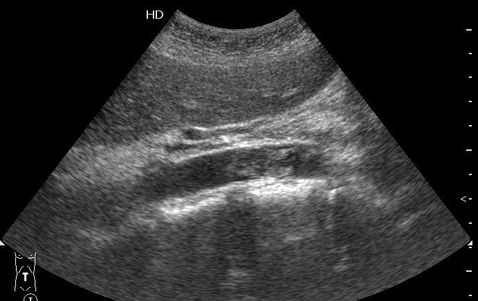
Продольный скан аорты
Продольный скан аорты
Видео:
12-07-12-112352__1.avi
Поперечный скан аорты
(1.06 МБ) 110 скачиваний
12-07-12-112352_5591__2.avi
Продольный скан аорты
(1.01 МБ) 120 скачиваний
12-07-12-112352_3_xvid.avi
Поперечный скан аорты, CFM
(216.71 КБ) 95 скачиваний
12-07-12-112352_4.avi
Компрессия бедренных сосудов, на бодимаркер не обращаем внимание
(527.97 КБ) 114 скачиваний
Назначено консервативное лечение, назавтра появился кровоток в бедренных артериях.

Tags: abdominal aortic thrombosis