УЗИ ЖВП: конкремент в пузырном протоке

Печень, желчный пузырь, поджелудочная железа, селезенка. Кишечник.
Только верифицированые изображения
Аватара пользователя
KsV
Администратор
Сообщения: 2189
Зарегистрирован: 22 фев 2009, 13:38
Откуда: Беларусь-Lietuva
Контактная информация:

УЗИ ЖВП: конкремент в пузырном протоке

Сообщение KsV »

Молодая женщина, плановое обследование.
Жалоб не предъявляет.
12-09-06-100745_7191.avi
(1 МБ) 72 скачивания
Ваше заключение?

Tags: cystic duct stone, ultrasonography, sonography
Аватара пользователя
Инга
Сообщения: 216
Зарегистрирован: 23 ноя 2009, 17:22
Контактная информация:

Re: УЗИ ЖВП

Сообщение Инга »

А она не желтая? )))
Возможно холедохолитиаз, дилятация холедоха ???? :oops:
Аватара пользователя
KsV
Администратор
Сообщения: 2189
Зарегистрирован: 22 фев 2009, 13:38
Откуда: Беларусь-Lietuva
Контактная информация:

Re: УЗИ ЖВП

Сообщение KsV »

Инга писал(а):А она не желтая? )))
Возможно холедохолитиаз, дилятация холедоха ???? :oops:
Нет, желтухи нет. Холедох, кстати, не расширен.
Аватара пользователя
KsV
Администратор
Сообщения: 2189
Зарегистрирован: 22 фев 2009, 13:38
Откуда: Беларусь-Lietuva
Контактная информация:

Re: УЗИ ЖВП

Сообщение KsV »

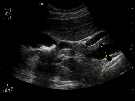
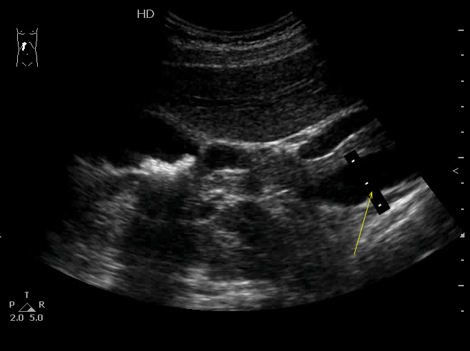
ЖКБ, холецистолитиаз, необструктивный конкремент пузырного протока.
Оперирована, все подтвердилось.
Аватара пользователя
dok69
Сообщения: 137
Зарегистрирован: 19 дек 2009, 19:32
Откуда: г.Бобруйск
Контактная информация:

Re: УЗИ ЖВП: конкремент в пузырном протоке

Сообщение dok69 »

Да, холедох где то до 7-8 мм. - верхняя граница нормы.
Камни в пузырном протоке четко видны.
Интересно делали пациентке ФГДС ?
Все ли там нормально с Фатеровым соском?
http://endosono.ru
*****************************************
Странный этот мир, в котором двое смотрят на одно и тоже, а видят разное.
Агата Кристи.
Аватара пользователя
KsV
Администратор
Сообщения: 2189
Зарегистрирован: 22 фев 2009, 13:38
Откуда: Беларусь-Lietuva
Контактная информация:

Re: УЗИ ЖВП: конкремент в пузырном протоке

Сообщение KsV »

Если холедох 7-8 мм, то сколько вена порта? ))
Аватара пользователя
dok69
Сообщения: 137
Зарегистрирован: 19 дек 2009, 19:32
Откуда: г.Бобруйск
Контактная информация:

Re: УЗИ ЖВП: конкремент в пузырном протоке

Сообщение dok69 »

Судя по всему это вы нам сказать должны, но предположу, что где то до 13-15 мм. Изображение
Вложения
hl.jpg
http://endosono.ru
*****************************************
Странный этот мир, в котором двое смотрят на одно и тоже, а видят разное.
Агата Кристи.
Аватара пользователя
KsV
Администратор
Сообщения: 2189
Зарегистрирован: 22 фев 2009, 13:38
Откуда: Беларусь-Lietuva
Контактная информация:

Re: УЗИ ЖВП: конкремент в пузырном протоке

Сообщение KsV »

dok69, то что Вы измерили - Это НПВ.
Аватара пользователя
dok69
Сообщения: 137
Зарегистрирован: 19 дек 2009, 19:32
Откуда: г.Бобруйск
Контактная информация:

Re: УЗИ ЖВП: конкремент в пузырном протоке

Сообщение dok69 »

KapustinSV писал(а):dok69, то что Вы измерили - Это НПВ.
Да ..., пардон, промахнулся. Изображение
А чего вы спрашиваете про ВВ?
Если ее здесь не видно.
http://endosono.ru
*****************************************
Странный этот мир, в котором двое смотрят на одно и тоже, а видят разное.
Агата Кристи.
Ответить

Вернуться в «Абдоминальные исследования»

Кто сейчас на конференции

Сейчас этот форум просматривают: нет зарегистрированных пользователей и 1 гость