ГКМП

Сердце.
Только верифицированые изображения

Модератор: dok333

Ответить
Аватара пользователя
dok333
Сообщения: 142
Зарегистрирован: 29 окт 2010, 09:59
Откуда: Ukraine,Kharkiv
Контактная информация:

ГКМП

Сообщение dok333 »

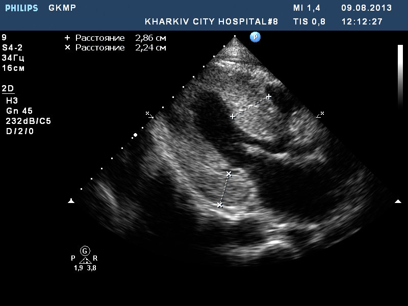
ГКМП. обструкции кровотока в выносящем тракте левого желудочка нет.
phpBB [video]

phpBB [video]

phpBB [video]
Вложения
1.jpg
2.jpg
3.jpg
4.jpg
5.jpg
Аватара пользователя
KsV
Администратор
Сообщения: 2189
Зарегистрирован: 22 фев 2009, 13:38
Откуда: Беларусь-Lietuva
Контактная информация:

Re: ГКМП

Сообщение KsV »

Гут, очень демонстративно.
Аватара пользователя
dok333
Сообщения: 142
Зарегистрирован: 29 окт 2010, 09:59
Откуда: Ukraine,Kharkiv
Контактная информация:

Re: ГКМП

Сообщение dok333 »

:roll:
Ответить

Вернуться в «Кардиологические исследования»

Кто сейчас на конференции

Сейчас этот форум просматривают: нет зарегистрированных пользователей и 1 гость