Страница 1 из 1

Перелом нижней челюсти

Добавлено: 05 дек 2014, 13:18
KsV
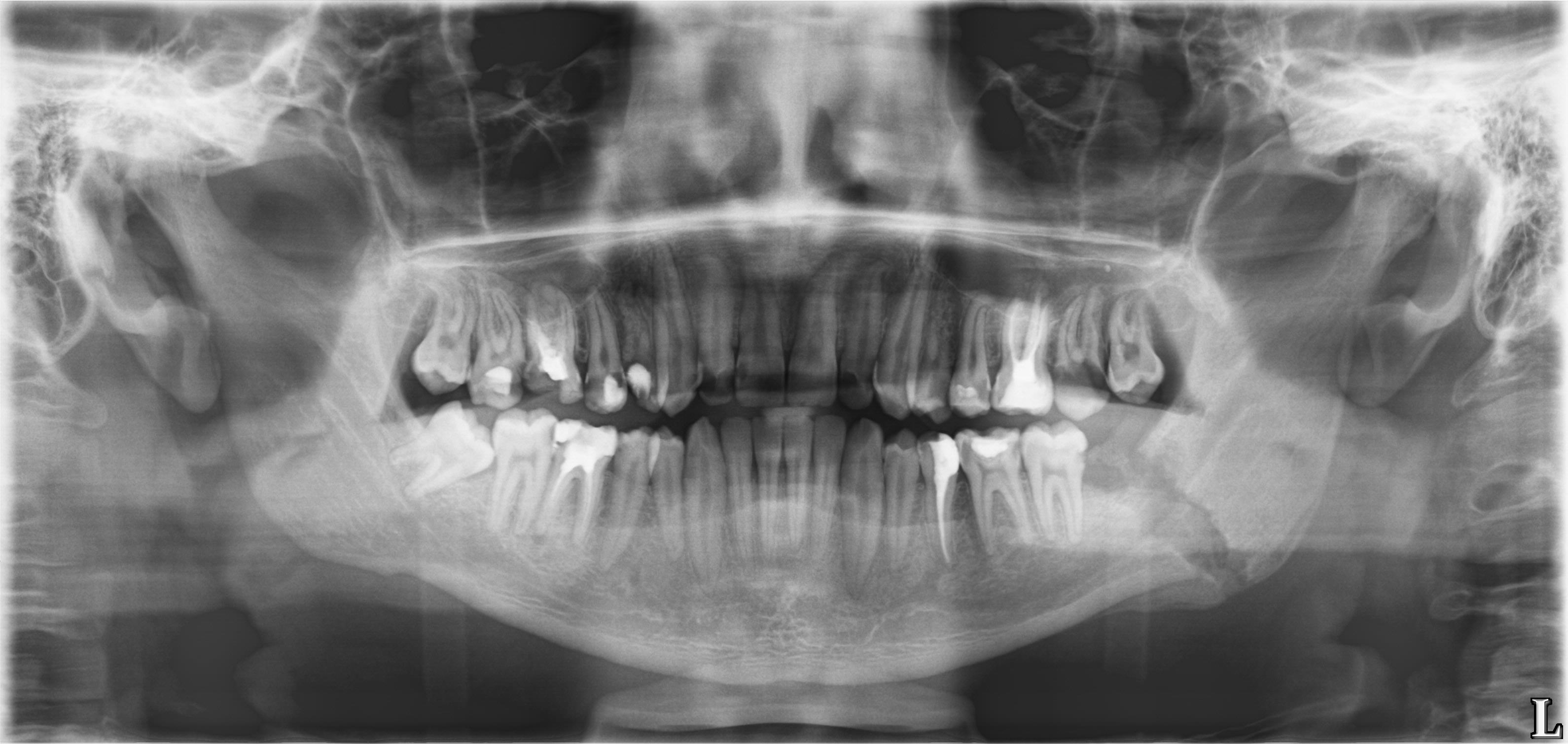
Молодой парень с припухлостью в области угла левой нижней челюсти.
Прислал ЛОР провести дифдиагноз между лимфаденитом и сиаладенитом.
dec052014102702_16.jpg
phpBB [video]


--Травма была?
--ЫЫЫ. Месяц назад...
58104a43_ab81_47de_b19e_a99ee09a57f1_PAMPARAS_DEIVYDAS_0.jpg