Конкремент культи, микроцистис: УЗИ

Печень, желчный пузырь, поджелудочная железа, селезенка. Кишечник.
Только верифицированые изображения
Ответить
Аватара пользователя
KsV
Администратор
Сообщения: 2191
Зарегистрирован: 22 фев 2009, 13:38
Откуда: Беларусь-Lietuva
Контактная информация:

Конкремент культи, микроцистис: УЗИ

Сообщение KsV »

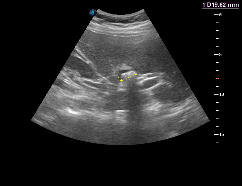
Женщина средних лет. Открытая операция холецистэктомии 15 лет назад, в ургентной ситуации.
mar052015083234_1.jpg
phpBB [video]

phpBB [video]
Mattiola
Сообщения: 41
Зарегистрирован: 02 мар 2015, 19:05
Контактная информация:

Re: УЗИ ОБП

Сообщение Mattiola »

Конкремент в культе?
Аватара пользователя
KsV
Администратор
Сообщения: 2191
Зарегистрирован: 22 фев 2009, 13:38
Откуда: Беларусь-Lietuva
Контактная информация:

Re: УЗИ ОБП

Сообщение KsV »

Mattiola писал(а):Конкремент в культе?
Да.
+
Ответить

Вернуться в «Абдоминальные исследования»

Кто сейчас на конференции

Сейчас этот форум просматривают: нет зарегистрированных пользователей и 1 гость