Экстренный - газ в брюшной полости, УЗИ
-
Anastasia
- Сообщения: 423
- Зарегистрирован: 07 янв 2013, 14:09
- Откуда: г. Могилёв
- Контактная информация:
Экстренный - газ в брюшной полости, УЗИ
Пациент с приемного отделения. Жалобы на боль в животе в течение 5 дней.
- Вложения
-
- C_111.JPG (15.7 КБ) 503 просмотра
-
Anastasia
- Сообщения: 423
- Зарегистрирован: 07 янв 2013, 14:09
- Откуда: г. Могилёв
- Контактная информация:
Re: Экстренный
KsV писал(а):Анастасия, Вы - молодец!
-
Anastasia
- Сообщения: 423
- Зарегистрирован: 07 янв 2013, 14:09
- Откуда: г. Могилёв
- Контактная информация:
Re: Экстренный
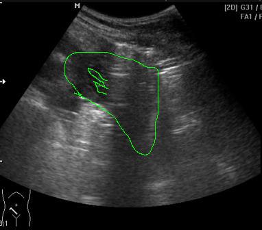
Перфорация язвы тонкой кишки. Фибринозно-гнойный перитонит.
На снимке жидкость с нитями фибрина (просто не знаю понятно или нет, что я хотела показать).
На рентген. снимке, в положении на боку, большое кол-во газа (имеется в наличии и если интерестно, то могу позже выложить ).
На снимке жидкость с нитями фибрина (просто не знаю понятно или нет, что я хотела показать).
На рентген. снимке, в положении на боку, большое кол-во газа (имеется в наличии и если интерестно, то могу позже выложить ).
- KsV
- Администратор
- Сообщения: 2191
- Зарегистрирован: 22 фев 2009, 13:38
- Откуда: Беларусь-Lietuva
- Контактная информация:
Re: Экстренный
А где здесь нити фибрина? Ткните пальцем в сонограмме, пжл.Anastasia писал(а):Перфорация язвы тонкой кишки. Фибринозно-гнойный перитонит.
На снимке жидкость с нитями фибрина (просто не знаю понятно или нет, что я хотела показать).
На рентген. снимке, в положении на боку, большое кол-во газа (имеется в наличии и если интерестно, то могу позже выложить ).
-
Anastasia
- Сообщения: 423
- Зарегистрирован: 07 янв 2013, 14:09
- Откуда: г. Могилёв
- Контактная информация:
Re: Экстренный
[quote="KsV"
"Видишь суслика? — Нет! — И я не вижу. А он есть!"
На снимке гипоэхогенный неоднородный участок клиновидной формы- жидкость в брюшной. В этом месте были линейные эхогенные флотирующие структуры. Что-то и я их на этом снимке уже не могу четко показать (хотя сразу после осмотра мне казалось, что все видно).KsV писал(а): А где здесь нити фибрина? Ткните пальцем в сонограмме, пжл.
"Видишь суслика? — Нет! — И я не вижу. А он есть!"
- KsV
- Администратор
- Сообщения: 2191
- Зарегистрирован: 22 фев 2009, 13:38
- Откуда: Беларусь-Lietuva
- Контактная информация:
Re: Экстренный
Пересмотрел еще раз, жтдкости не вижу.
Газ свободный то вы видите?
Газ свободный то вы видите?
-
Anastasia
- Сообщения: 423
- Зарегистрирован: 07 янв 2013, 14:09
- Откуда: г. Могилёв
- Контактная информация:
Re: Экстренный
Возможно и не вижу, а моё заключение было основано только на интуицииKsV писал(а):Газ свободный то вы видите?
Пузырек газа у селезенки на 1 видео и полоса по передней поверхности печени на 2-м(газ смещался при повороте на бок)
У нижнего полюса селезенки есть. Посмотрела снимок на аппарате и вот попыталась обрисовать участок с неоднородной жидкостью и полоски фибрина.KsV писал(а):Пересмотрел еще раз, жтдкости не вижу.
Конечно неполные 4 года практики это мало, но отличить жидкость от тканевого участка, думаю, могу.
- Вложения
-
- C_111.JPG (17.32 КБ) 489 просмотров
Кто сейчас на конференции
Сейчас этот форум просматривают: нет зарегистрированных пользователей и 1 гость