Ad blocker detected: Our website is made possible by displaying online advertisements to our visitors. Please consider supporting us by disabling your ad blocker on our website.
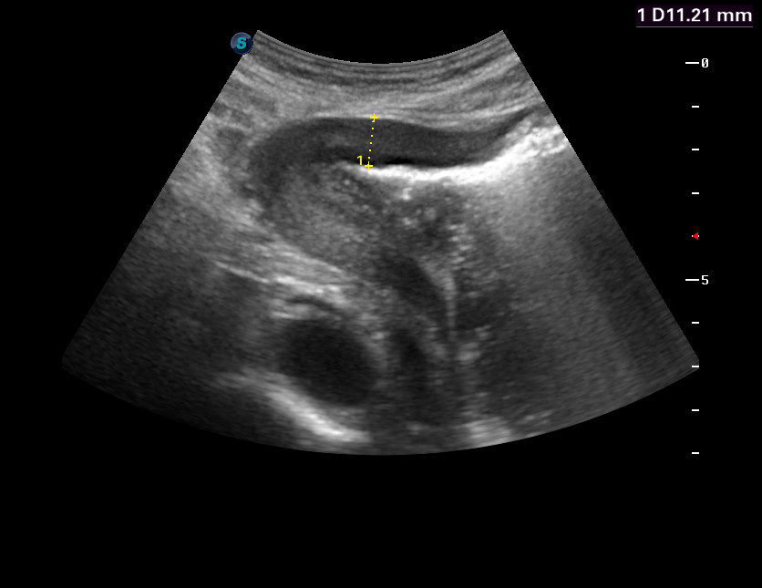
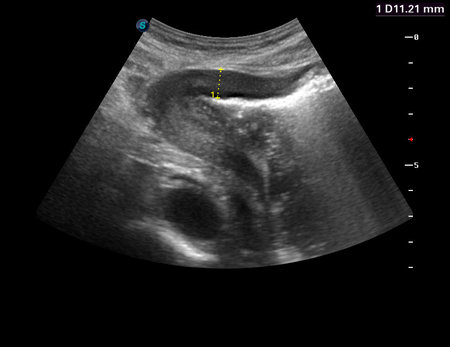
Печень, желчный пузырь, поджелудочная железа, селезенка. Кишечник.
Только верифицированые изображения
KsV
Администратор
Сообщения: 2191 Зарегистрирован: 22 фев 2009, 13:38
Откуда: Беларусь-Lietuva
Контактная информация:
Сообщение
KsV » 21 авг 2015, 08:29
Пожилой мужчина из отделения терапии
Брехт
Сообщения: 99 Зарегистрирован: 16 июн 2009, 08:13
Контактная информация:
Сообщение
Брехт » 03 сен 2015, 13:45
инфильтративный
KsV
Администратор
Сообщения: 2191 Зарегистрирован: 22 фев 2009, 13:38
Откуда: Беларусь-Lietuva
Контактная информация:
Сообщение
KsV » 03 сен 2015, 13:51
Да.
Сейчас этот форум просматривают: нет зарегистрированных пользователей и 1 гость