Изменения правой почки у мужчины 56 лет - кисты и RCC

Почки, мочеточники, мочевой пузырь, уретра. Простата и яички.

Модератор: KsV

Аватара пользователя
KsV
Администратор
Сообщения: 2191
Зарегистрирован: 22 фев 2009, 13:38
Откуда: Беларусь-Lietuva
Контактная информация:

Изменения правой почки у мужчины 56 лет - кисты и RCC

Сообщение KsV »

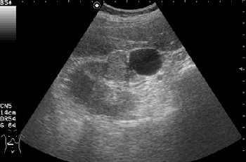
Профилактический осмотр.
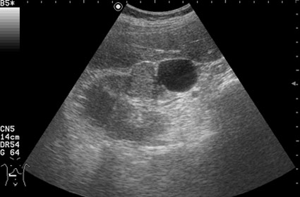
Поперечное серошкальное сканирование.
Поперечное серошкальное сканирование.
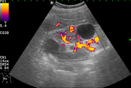
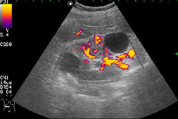
Сканирование в режиме энергетического доплера.
Сканирование в режиме энергетического доплера.
Как трактовать выявленные изменения? Какова тактика врача УЗД в данной ситуации?
Аватара пользователя
KsV
Администратор
Сообщения: 2191
Зарегистрирован: 22 фев 2009, 13:38
Откуда: Беларусь-Lietuva
Контактная информация:

Re: Изменения правой почки у мужчины 56 лет

Сообщение KsV »

Uzgraph писал(а):Кисты правой почки (онконастороженность).
Ю.Ю.,
Вас не смущает наличие внутреннего кровотока в одной из "кист"?
Аватара пользователя
KsV
Администратор
Сообщения: 2191
Зарегистрирован: 22 фев 2009, 13:38
Откуда: Беларусь-Lietuva
Контактная информация:

Re: Изменения правой почки у мужчины 56 лет

Сообщение KsV »

Untitled-2.jpg
Untitled-2.jpg (15.48 КБ) 4127 просмотров
Аватара пользователя
KsV
Администратор
Сообщения: 2191
Зарегистрирован: 22 фев 2009, 13:38
Откуда: Беларусь-Lietuva
Контактная информация:

Re: Изменения правой почки у мужчины 56 лет

Сообщение KsV »

Uzgraph писал(а):А разве это киста?
Обозначенный сегмент почки по структуре не отличим от рядом лежащих участков, выбухание контура над указанным сегментом тоже ни о чем не говорит, т.к. может быть просто дольчатостью.
Дольчатость почки в 56 лет?
При гистологии эта структура была почечно-клеточным раком (RCC).
Аватара пользователя
KsV
Администратор
Сообщения: 2191
Зарегистрирован: 22 фев 2009, 13:38
Откуда: Беларусь-Lietuva
Контактная информация:

Re: Изменения правой почки у мужчины 56 лет - кисты и RCC

Сообщение KsV »

Uzgraph писал(а):Как-то на сертификационном цикле один преподаватель, думаю и Вам известный, признался нам, что пропустил как-то подобный очаг, но после того, как показал его нам и мы тоже на снимке ничего не увидели.
УЗИ не метод гистологической верификации - по УЗИ рак не ставят.
Понятно, что УЗД и медицина вообще - искусство возможного, но в этом случае мы больному помогли, так как опухоль обнаружили.
Uzgraph писал(а):УЗИ не метод гистологической верификации - по УЗИ рак не ставят.
Согласен, но есть совокупность признаков, позволяющих с очень высокой степенью достоверности считать, что это тканевое образование, а в отношении конкретного случая - что это почечноклеточный рак (RCC).

Иначе какой в нас и УЗД смысл?
А.М.Шифрин
Сообщения: 60
Зарегистрирован: 12 апр 2009, 18:41
Контактная информация:

Re: Изменения правой почки у мужчины 56 лет - кисты и RCC

Сообщение А.М.Шифрин »

Уважаемый KapustinSV.
Я бы тоже поставил в представленном Вами случае рак почки.
НО, как это пишут в загадках,"найдите 3 отличия" между слабо гиперэхогенным образованием, представленным здесь Вами, и моими фото 2 и 3. Они здесь http://radiology.by/forum/viewtopic.php?f=32&t=104
С уважением, А. Шифрин
Аватара пользователя
Dr.Mario
Эксперт
Сообщения: 160
Зарегистрирован: 17 мар 2009, 07:36
Контактная информация:

Re: Изменения правой почки у мужчины 56 лет - кисты и RCC

Сообщение Dr.Mario »

Интересная постановка вопроса! :D
RCC она всегда другая, некрасивая и весьма подозрительная.
AML это "красивая" гомогенная диффузно гиперэхогенная чётко очерченная. Но бывает что и AML вызывает подозрение, тогда только КТ, ищем жир (минусовые значения плотности).
В последние пару лет. появилось пару статей с докладами о RCC которые имели включения с плотностью жира на КТ, наводит на размышления :o :? .
Let me see...
www.radiographia.ru
Аватара пользователя
KsV
Администратор
Сообщения: 2191
Зарегистрирован: 22 фев 2009, 13:38
Откуда: Беларусь-Lietuva
Контактная информация:

Re: Изменения правой почки у мужчины 56 лет - кисты и RCC

Сообщение KsV »

А.М.Шифрин писал(а):Уважаемый KapustinSV.
Я бы тоже поставил в представленном Вами случае рак почки.
НО, как это пишут в загадках,"найдите 3 отличия" между слабо гиперэхогенным образованием, представленным здесь Вами, и моими фото 2 и 3. Они здесь http://radiology.by/forum/viewtopic.php?f=32&t=104
С уважением, А. Шифрин
Уважаемый А.Шифрин,
В данном конкретном случае разница есть и она довольно существенная. Все-таки образование представленное на этой странице изо- или нормоэхогенное. В Вашем случае образование имеет повышенную эхогенность, примерно равную эхогенности окружающей почку клетчатки, что в пользу именно AML.
Но Вы правы в том, что могут быть трудности в дифференциальном диагнозе между AML и RCC малых размеров (в 20-30 % случаев могут быть эхогенными). Однако при УЗИ для RCC характерен гипоэхогенный ободок, внутриопухолевые включения, низкорезистивный внутриопухолевый кровоток.
В любом случае жирную точку ставит КТ.
Аватара пользователя
KsV
Администратор
Сообщения: 2191
Зарегистрирован: 22 фев 2009, 13:38
Откуда: Беларусь-Lietuva
Контактная информация:

Re: Изменения правой почки у мужчины 56 лет - кисты и RCC

Сообщение KsV »

Dr.Mario писал(а):Интересная постановка вопроса! :D
В последние пару лет. появилось пару статей с докладами о RCC которые имели включения с плотностью жира на КТ, наводит на размышления :o :? .
RCC with small amount of fat - капли жира в солидной опухоли vs опухоли из жировой ткани
А.М.Шифрин
Сообщения: 60
Зарегистрирован: 12 апр 2009, 18:41
Контактная информация:

Re: Изменения правой почки у мужчины 56 лет - кисты и RCC

Сообщение А.М.Шифрин »

Уважаемый KapustinSV.
Эхогенность сравниваемых образований почти равна и четко выше эхогенности почечной паренхимы (см. фото 2, тк. фото3 - это трехмерная обработка с подключением режима МРТ).
Гипоэхогенный ободок, если очень постараться, можно найти на фото 1. Внутриопухолевые включения отсутствуют в обоих случаях. Могу согласиться только на низкорезистивный внутриопухолевый кровоток (в AML он действительно отсутствовал, хотя этого я нигде не отмечал).
С уважением А.Ш.
Ответить

Вернуться в «Уронефрологические исследования»

Кто сейчас на конференции

Сейчас этот форум просматривают: нет зарегистрированных пользователей и 1 гость