Изменения желчного пузыря

Печень, желчный пузырь, поджелудочная железа, селезенка. Кишечник.
Изображения для консультации
Аватара пользователя
KsV
Администратор
Сообщения: 2189
Зарегистрирован: 22 фев 2009, 13:38
Откуда: Беларусь-Lietuva
Контактная информация:

Изменения желчного пузыря

Сообщение KsV »

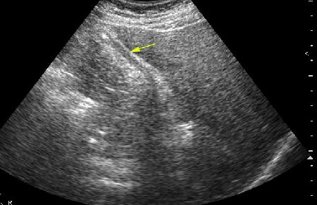
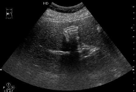
Молодой мужчина с болями в эпигастральной области.
Осматривался дважды натощак. Выявлены изменения желчного пузыря.
Печень, селезенка при УЗИ не изменены.
1.jpg
Прошу помочь с заключением.
Аватара пользователя
acustic
Сообщения: 10
Зарегистрирован: 30 мар 2009, 09:12
Контактная информация:

Re: Изменения желчного пузыря

Сообщение acustic »

Запустевший желчный пузырь болей не даёт. При верхнеабдоминальном синдроме необходимо также проводить ФГДС.
А.М.Шифрин
Сообщения: 60
Зарегистрирован: 12 апр 2009, 18:41
Контактная информация:

Re: Изменения желчного пузыря

Сообщение А.М.Шифрин »

Если этот желчный пузырь не удается "вытянуть", то он не сократившийся, а нефункционирующий ИМХО.
besliu
Сообщения: 142
Зарегистрирован: 11 окт 2009, 08:31
Контактная информация:

Re: Изменения желчного пузыря

Сообщение besliu »

Думаю,что это не просто пустой ж.пузырь,он содержит гиперэхогенное включение в середине,повторяющее форму ж.пузыря и дающее позадиакустическую тень.Возможна кальцифицированная аскарида :)
Nemtsov L
Сообщения: 3
Зарегистрирован: 07 ноя 2009, 07:23
Контактная информация:

Re: Изменения желчного пузыря

Сообщение Nemtsov L »

Нефункционирующий желчный пузырь содержит гиперэхогенное включение.
Аватара пользователя
KsV
Администратор
Сообщения: 2189
Зарегистрирован: 22 фев 2009, 13:38
Откуда: Беларусь-Lietuva
Контактная информация:

Re: Изменения желчного пузыря

Сообщение KsV »

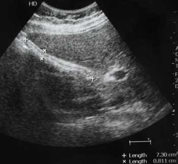
Похожий случай. Молодой мужчина, врач, длительные терпимые боли в правом подреберье.
1994_1994_20100311_081241_2.jpg
???
besliu
Сообщения: 142
Зарегистрирован: 11 окт 2009, 08:31
Контактная информация:

Re: Изменения желчного пузыря

Сообщение besliu »

1Интересно узнать какой диагноз был выставлен первому пациенту? Спасибо.
2.По второму случаю можно было бы просто подумать о гиперкинезии ж.пузыря,который сокращается и "от глотка слюны".Но,прочитав эту фразу:"In patients with hilar cholangiocarcinoma and complete obstruction of both rigt and left hepatic ducts,extrahepatic bile ducts and the gollbladder appear empty(colapsed)",учитывая сложность выявления "малых" опухолей печени методом УЗИ,я думаю,что надо сделать КТ.
Аватара пользователя
KsV
Администратор
Сообщения: 2189
Зарегистрирован: 22 фев 2009, 13:38
Откуда: Беларусь-Lietuva
Контактная информация:

Re: Изменения желчного пузыря

Сообщение KsV »

Первый ж.пузырь удален, клинический диагноз "сморщенный желчный пузырь, ЖКБ", гистология - фиброз стенок желчного пузыря.
besliu
Сообщения: 142
Зарегистрирован: 11 окт 2009, 08:31
Контактная информация:

Re: Изменения желчного пузыря

Сообщение besliu »

Спасибо!Взят в архив памяти своей :)
Аватара пользователя
Инга
Сообщения: 216
Зарегистрирован: 23 ноя 2009, 17:22
Контактная информация:

Re: Изменения желчного пузыря

Сообщение Инга »

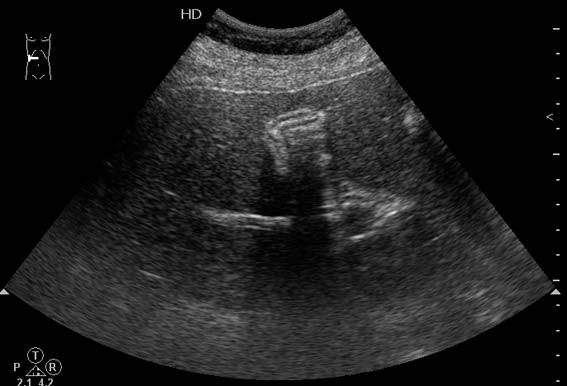
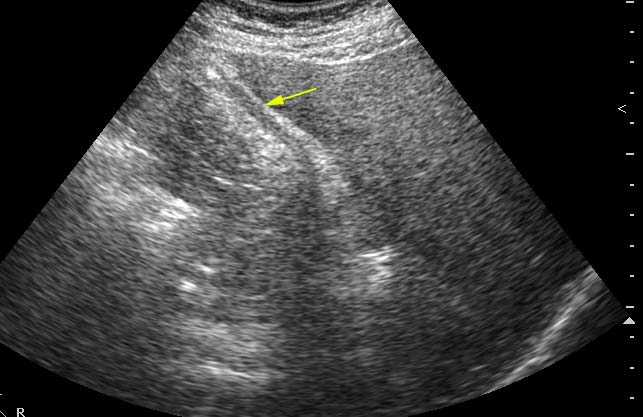
Похожий случай сегодня:
IMG_6794a.jpg
IMG_6794a.jpg (11.82 КБ) 2418 просмотров
IMG_6790a.jpg
IMG_6790a.jpg (8.79 КБ) 2418 просмотров
Ответить

Вернуться в «Абдоминальные исследования»

Кто сейчас на конференции

Сейчас этот форум просматривают: нет зарегистрированных пользователей и 1 гость