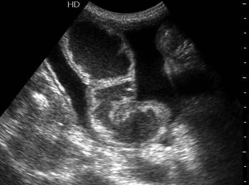
Мужчина средних лет с резкими болями в животе, тошнотой, рвотой.
Острая кишечная непроходимость
Re: Абдоминальное УЗИ
А что может быть кроме непроходимости?
Re: Абдоминальное УЗИ
Кишечная непроходимость. Можно предположить,странгуляционная.
Re: Абдоминальное УЗИ
Предположим - Расширенные петли кишечника , заполненные жидким содержимым на фоне свободной жидкости в брюшной полости
Может встречаться при острых панкреатитах (или эта картинка с патологией ПЖ никак не связана?)
Может встречаться при острых панкреатитах (или эта картинка с патологией ПЖ никак не связана?)
- KsV
- Администратор
- Сообщения: 2191
- Зарегистрирован: 22 фев 2009, 13:38
- Откуда: Беларусь-Lietuva
- Контактная информация:
Re: Абдоминальное УЗИ
Типичная острая кишечная непроходимость, асцит.
В архив.
В архив.
Кто сейчас на конференции
Сейчас этот форум просматривают: нет зарегистрированных пользователей и 1 гость