Тромбоз верхней брыжеечной вены
- KsV
- Администратор
- Сообщения: 2189
- Зарегистрирован: 22 фев 2009, 13:38
- Откуда: Беларусь-Lietuva
- Контактная информация:
Тромбоз верхней брыжеечной вены
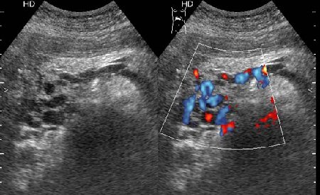
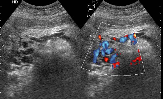
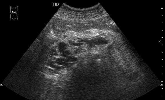
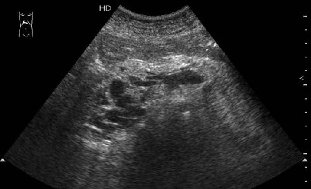
Женщина средних лет, клинический диагноз при поступлении - хронический панкреатит
Ваше заключение?
Ваше заключение?
Re: УЗИ панкреас
1.Тромбоз селезеночной вены?
2. Тромбоз вен портальной системы?
2. Тромбоз вен портальной системы?
- KsV
- Администратор
- Сообщения: 2189
- Зарегистрирован: 22 фев 2009, 13:38
- Откуда: Беларусь-Lietuva
- Контактная информация:
Re: УЗИ панкреас
Ответ принимается.Инга писал(а):1.Тромбоз селезеночной вены?
2. Тромбоз вен портальной системы?
Но хочу уточнить - тромбоз какой вены приводит к такому типичному изменению головки панкреас?
Re: УЗИ панкреас
данные изменения могут соответствовать и хроническому панкреатиту и стеатозу поджелудочной железы.
Re: УЗИ панкреас
Я думаю, что все-таки тромбоз селезеночной вены 
Re: УЗИ панкреас
Верхней брыжеечной
- KsV
- Администратор
- Сообщения: 2189
- Зарегистрирован: 22 фев 2009, 13:38
- Откуда: Беларусь-Lietuva
- Контактная информация:
Re: УЗИ панкреас
Да, действительно, формирование варикоза в области головки панкреас характерно для тромбоза верхней брыжеечной вены.Брехт писал(а):Верхней брыжеечной
Браво, Брехт!
В архив.
Re: Тромбоз верхней брыжеечной вены
Спасибо за случай,впервые вижу такую патологию,ургентность в поликлинике не так уж частая

- KsV
- Администратор
- Сообщения: 2189
- Зарегистрирован: 22 фев 2009, 13:38
- Откуда: Беларусь-Lietuva
- Контактная информация:
Re: Тромбоз верхней брыжеечной вены
Ургентность здесь относительная, это неострый тромбоз - для развития коллатералей необходимо время. В хирургической клинике при хроническом панкреатите мы нередко видим тромбозы воротной вены, селезеностой вены. Но тромбоз ВБВ встречается нечасто и заподозрить его можно по "гроздьям" варикозов в области головки панкреас. На пилетромбоз обычно указвают "гроздья" варикозов в воротах печени.besliu писал(а):Спасибо за случай,впервые вижу такую патологию,ургентность в поликлинике не так уж частая![]()
Кто сейчас на конференции
Сейчас этот форум просматривают: нет зарегистрированных пользователей и 0 гостей