КТ головного мозга. ОНМК ???

Головной мозг, позвоночник.
Только верифицированые изображения
Ответить
Аватара пользователя
Dr.Mario
Эксперт
Сообщения: 160
Зарегистрирован: 17 мар 2009, 07:36
Контактная информация:

КТ головного мозга. ОНМК ???

Сообщение Dr.Mario »

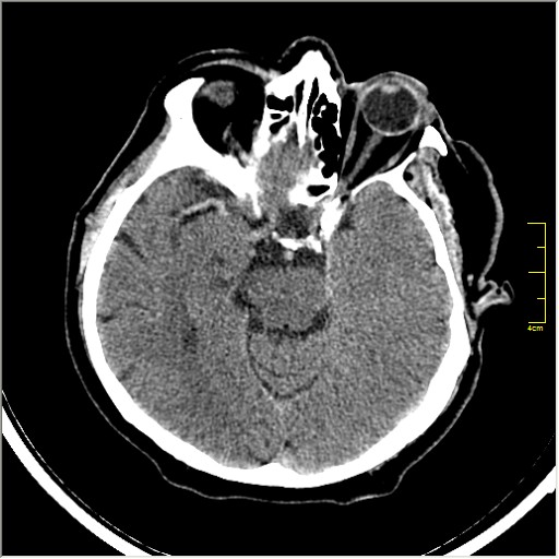
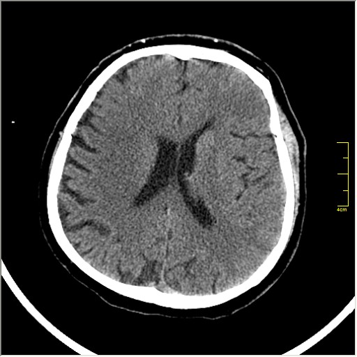
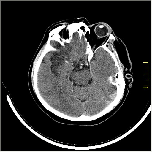
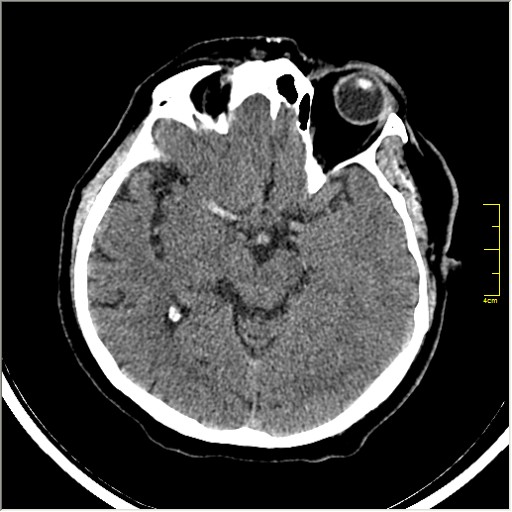
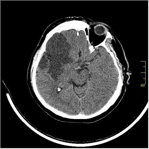
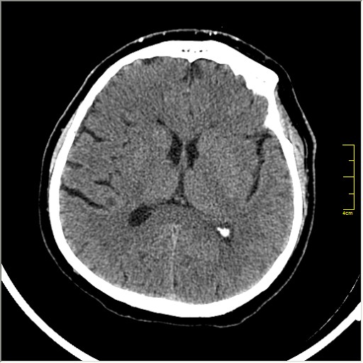
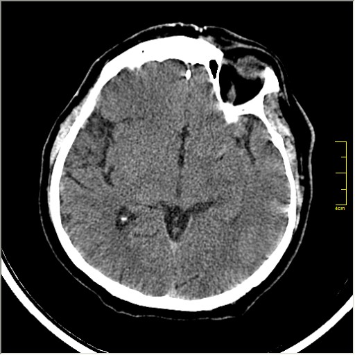
Пациентка Д. 64 года. Поступила с диагнозом ОНМК ???, жалобы на онемение и слабость в левой половине тела.
Вложения
CVA0.JPG
CVA1.JPG
CVA2.JPG
CVA3.JPG
CVA4.JPG
CVA5.JPG
CVA6.JPG
CVA7.JPG
Let me see...
www.radiographia.ru
Аватара пользователя
Dr.Mario
Эксперт
Сообщения: 160
Зарегистрирован: 17 мар 2009, 07:36
Контактная информация:

Re: КТ головного мозга. ОНМК ???

Сообщение Dr.Mario »

Жалко что пока никто не ответил; весьма показательный случай! 8-) Тем более что пациенты с диагнозом направления: ОНМК, в практике кабинета КТ, это ежедневная "рутинная" работа. Я пока не буду публиковать контрольные сканы. Забегая вперёд скажу, представленный выше патологический признак, подтвердился.
Let me see...
www.radiographia.ru
Аватара пользователя
Dr.Mario
Эксперт
Сообщения: 160
Зарегистрирован: 17 мар 2009, 07:36
Контактная информация:

Re: КТ головного мозга. ОНМК ???

Сообщение Dr.Mario »

Спасибо за Ваш пост. Если можно более конкретно, какой локализации опухоль вы подозреваете?
Let me see...
www.radiographia.ru
Аватара пользователя
Dr.Mario
Эксперт
Сообщения: 160
Зарегистрирован: 17 мар 2009, 07:36
Контактная информация:

Re: КТ головного мозга. ОНМК ???

Сообщение Dr.Mario »

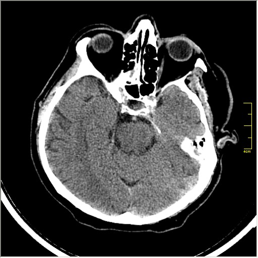
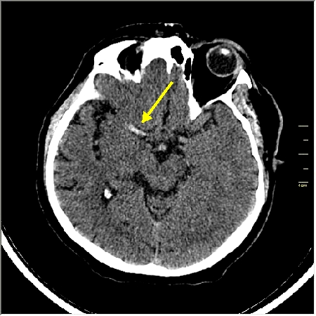
Ответ: Обратите внимание на правую среднемозговую артерию (MCA); М1 сегмент гиперденсен; сравните с другой стороной.
Вложения
1.JPG
Let me see...
www.radiographia.ru
Аватара пользователя
Dr.Mario
Эксперт
Сообщения: 160
Зарегистрирован: 17 мар 2009, 07:36
Контактная информация:

Re: КТ головного мозга. ОНМК ???

Сообщение Dr.Mario »

Этот признак называется [Dense MCA sign]; за счёт наличия тромбоза в её просвете. Этот признак является одним из ранних указующих КТ признаков при ишемическом инфаркте головного мозга. Более подробно об этом вы можете прочитать здесь: http://www.radiologyassistant.nl/en/483910a4b6f14.


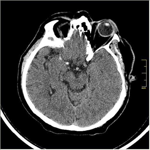
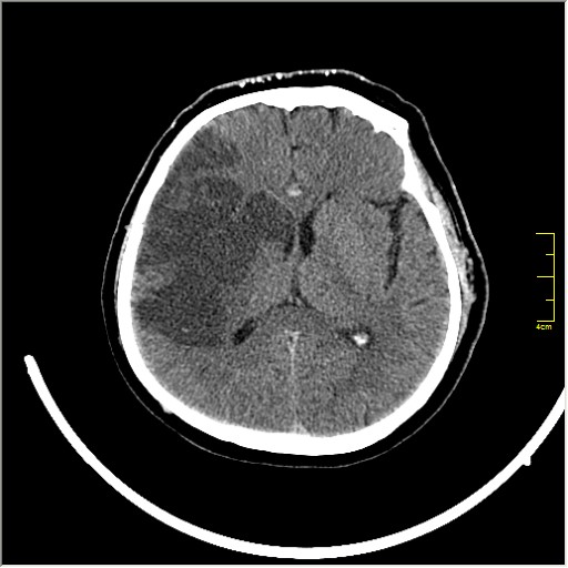
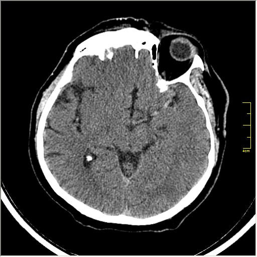
Ну и для полноты картины, привожу контрольные КТ сканы выполненные через 24 часа:
Вложения
2.jpg
3.JPG
4.JPG
Let me see...
www.radiographia.ru
Аватара пользователя
KsV
Администратор
Сообщения: 2189
Зарегистрирован: 22 фев 2009, 13:38
Откуда: Беларусь-Lietuva
Контактная информация:

Re: КТ головного мозга. ОНМК ???

Сообщение KsV »

Др Марио, большое спасибо за случай.
Все действительно просто, особенно когда объяснят :D
И ссылка очень хорошая.
marina
Сообщения: 8
Зарегистрирован: 04 апр 2009, 21:14
Контактная информация:

Re: КТ головного мозга. ОНМК ???

Сообщение marina »

Да - часто встречается этот признак - мы всегда обращаем внимание на толщину и гиперденсность сосудов.
Аватара пользователя
KsV
Администратор
Сообщения: 2189
Зарегистрирован: 22 фев 2009, 13:38
Откуда: Беларусь-Lietuva
Контактная информация:

Re: КТ головного мозга. ОНМК ???

Сообщение KsV »

marina писал(а):Да - часто встречается этот признак - мы всегда обращаем внимание на толщину и гиперденсность сосудов.
А когда следует ожидать этот признак, в какие часы от начала ишемической атаки?
Аватара пользователя
Dr.Mario
Эксперт
Сообщения: 160
Зарегистрирован: 17 мар 2009, 07:36
Контактная информация:

Re: КТ головного мозга. ОНМК ???

Сообщение Dr.Mario »

в первые 3 часа, он определяется в 70-80% случаев при тромбозе крупного сосуда.
Let me see...
www.radiographia.ru
Ответить

Вернуться в «Нейро-исследования»

Кто сейчас на конференции

Сейчас этот форум просматривают: нет зарегистрированных пользователей и 1 гость