ВИЧ

Щитовидная железа, тимус.
Только верифицированые изображения
Ответить
w.Thyme
Сообщения: 143
Зарегистрирован: 24 апр 2010, 17:46

ВИЧ

Сообщение w.Thyme »

Хронический сиалоаденит у детей - большая редкость, кроме...
Вложения
интранодулярные лимфоузлы в околоушной железе
интранодулярные лимфоузлы в околоушной железе
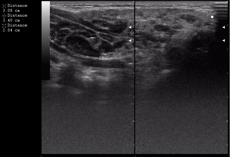
иногда я меряю так, и немножко ошибаюсь)
иногда я меряю так, и немножко ошибаюсь)
размер железы 30,8 + 34 = 64,8 мм х 20,4 мм
размер железы 30,8 + 34 = 64,8 мм х 20,4 мм
поднижнечелюстная слева
поднижнечелюстная слева
Аватара пользователя
Dr.Mario
Эксперт
Сообщения: 160
Зарегистрирован: 17 мар 2009, 07:36
Контактная информация:

Re: ВИЧ

Сообщение Dr.Mario »

----и некоторых системных или гематологических заболеваний.
Let me see...
www.radiographia.ru
Ответить

Вернуться в «Малые органы»

Кто сейчас на конференции

Сейчас этот форум просматривают: нет зарегистрированных пользователей и 1 гость