Cвинка

Щитовидная железа, тимус.
Только верифицированые изображения
Ответить
w.Thyme
Сообщения: 143
Зарегистрирован: 24 апр 2010, 17:46

Cвинка

Сообщение w.Thyme »

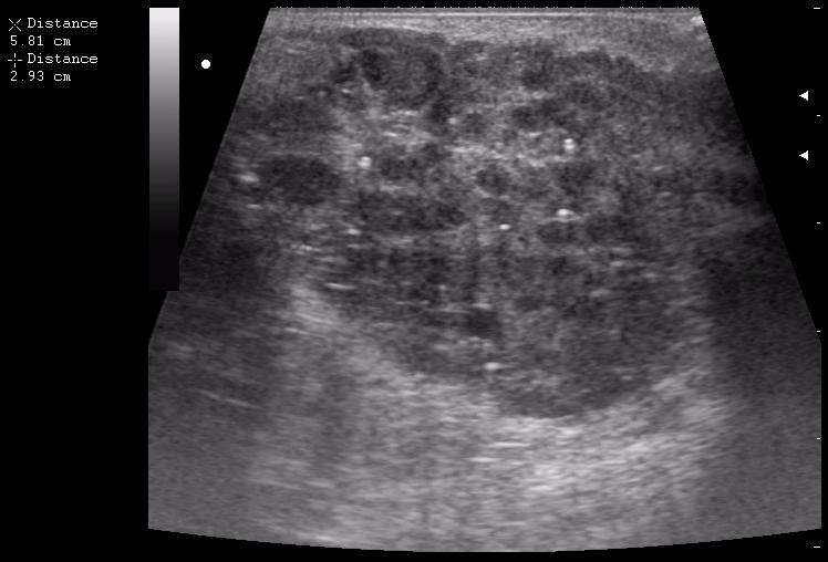
В гнойную хирургию положили ребенка с двусторонним шейным лимфаденитом в ст. инфильтрации.
мне этот лимфаденит показался совсем не лимфаденитным.
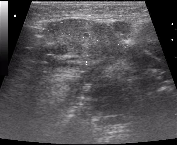
Вложения
пакеты гиперплазированных лимфоузлов
пакеты гиперплазированных лимфоузлов
лимфоузел в правой подчелюстной области
лимфоузел в правой подчелюстной области
лимфоузел в левой подчелюстной области
лимфоузел в левой подчелюстной области
w.Thyme
Сообщения: 143
Зарегистрирован: 24 апр 2010, 17:46

Re: свинка

Сообщение w.Thyme »

смотрю выше и вижу - картина маслом, с веселым названием - "а у нас карантин"
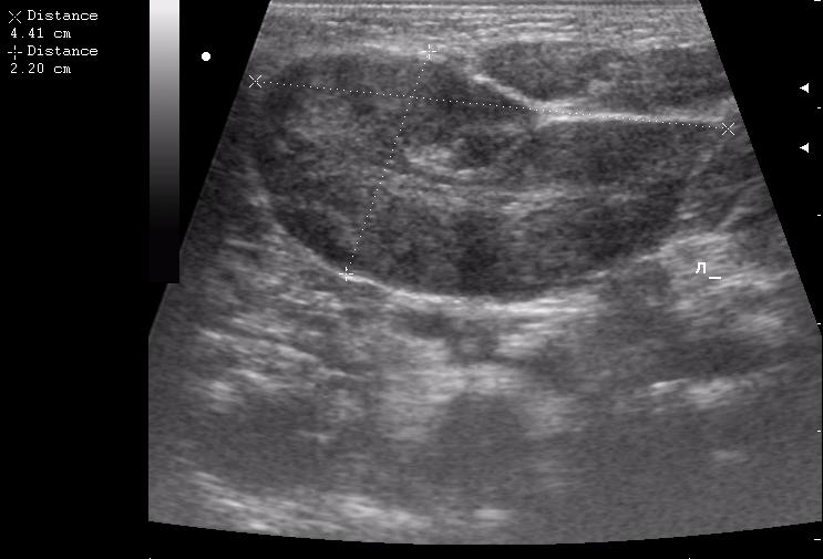
Вложения
левая околоушная железа
левая околоушная железа
левая поднижнечелюстная железа
левая поднижнечелюстная железа
правая околоушная железа
правая околоушная железа
расширенный выводной проток
расширенный выводной проток
besliu
Сообщения: 142
Зарегистрирован: 11 окт 2009, 08:31
Контактная информация:

Re: свинка

Сообщение besliu »

Да уж,явное увеличение околоушных желез.Да и реакция л.узлов значительная.Интресно понаблюдать в динамике.Слишком большие подчелюстные узлы.Спасибо за случай.
Ответить

Вернуться в «Малые органы»

Кто сейчас на конференции

Сейчас этот форум просматривают: нет зарегистрированных пользователей и 1 гость