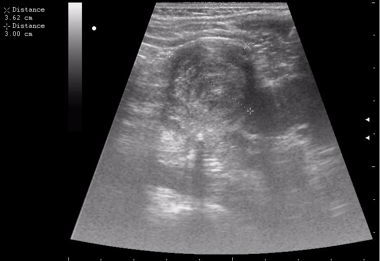
Гематома почки

Почки, мочеточники, мочевой пузырь, уретра. Простата и яички.

Модератор: KsV

Ответить
w.Thyme
Сообщения: 143
Зарегистрирован: 24 апр 2010, 17:46

Гематома почки

Сообщение w.Thyme »

нижний полюс
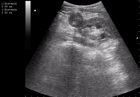
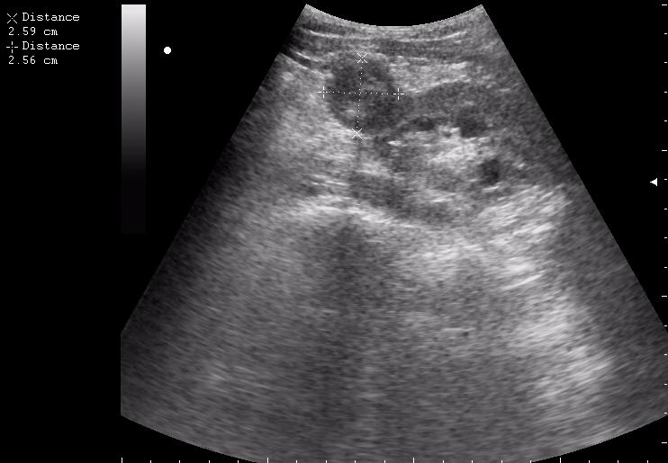
Вложения
сайтарлы3.JPG
сайтарлы2.JPG
Ответить

Вернуться в «Уронефрологические исследования»

Кто сейчас на конференции

Сейчас этот форум просматривают: нет зарегистрированных пользователей и 2 гостя