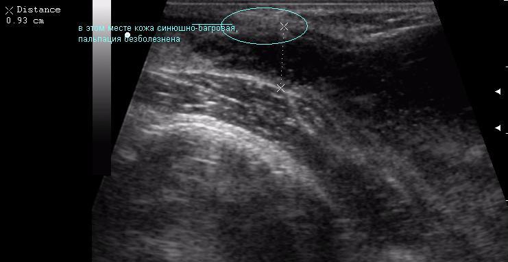
В клинику обратилась мать 11-летней девочки с жалобами на появление припухлости в подключичной области справа. Впервые заметили в феврале. За 4 месяца не интенсивный рост образования, с переходом на переднюю поверхность плеча, где кожа над ним на ограниченном участке (1.5-2см) имеет багрово-синюшную окраску.
Из анамнеза - ДТП осенью прошлого года.
(с д-зом Гематома(?) направлена на УЗИ)
достоверной связи с мышцами не увидела. Но на задней проекции включения определяется солидное образование. это может быть лимфоузел?
Холодный абсцесс в подключичной области справа
- KsV
- Администратор
- Сообщения: 2189
- Зарегистрирован: 22 фев 2009, 13:38
- Откуда: Беларусь-Lietuva
- Контактная информация:
Re: образование в подключичной области справа
Пункция+санация тонкой иглой, АБ-терапия если гной.
М.б. гнойный лимфоаденит.
М.б. гнойный лимфоаденит.
Re: образование в подключичной области справа
образование достаточно обширное. боли нет, температуры нет. после УЗИ хирурги отправили на КТ. ответ будет только в пятницу
что-то я часто стала слышать слово "тонкоигольная биопсия"... к чему бы это?
Re: образование в подключичной области справа
холодный абсцесс
Кто сейчас на конференции
Сейчас этот форум просматривают: нет зарегистрированных пользователей и 1 гость