Про уретероцеле, цистит и белорусское болото...

Почки, мочеточники, мочевой пузырь, уретра. Простата и яички.

Модератор: KsV

w.Thyme
Сообщения: 143
Зарегистрирован: 24 апр 2010, 17:46

Re: Уретероцеле

Сообщение w.Thyme »

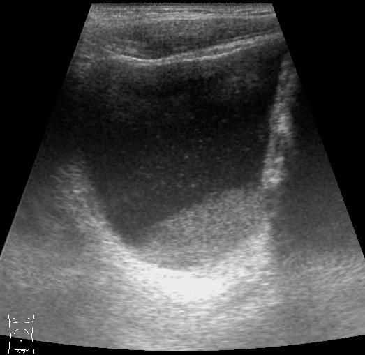
KapustinSV писал(а):Уретероцеле вижу, а признаков острого цистита - нет.
точно! уретероцеле тут первично, а цистит вторичный!
(вот по-этому и нет специфических узи-признаков!) :oops:
w.Thyme
Сообщения: 143
Зарегистрирован: 24 апр 2010, 17:46

Re: Про уретероцеле, цистит и белорусское болото...

Сообщение w.Thyme »

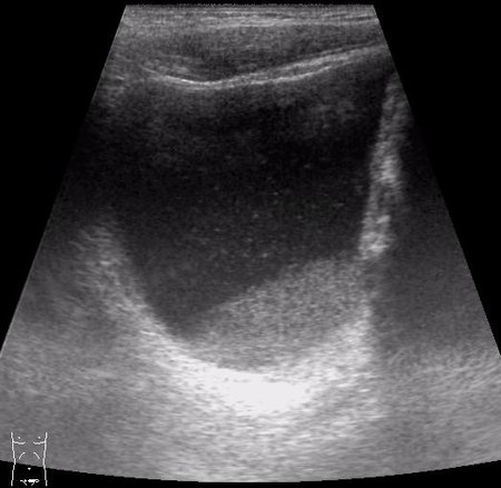
у нас тоже есть болота!
Вложения
32972.JPG
Ответить

Вернуться в «Уронефрологические исследования»

Кто сейчас на конференции

Сейчас этот форум просматривают: нет зарегистрированных пользователей и 1 гость