Эхинококкоз

Печень, желчный пузырь, поджелудочная железа, селезенка. Кишечник.
Только верифицированые изображения
Ответить
w.Thyme
Сообщения: 143
Зарегистрирован: 24 апр 2010, 17:46

Эхинококкоз

Сообщение w.Thyme »

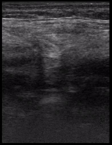
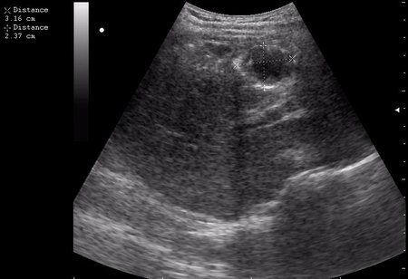
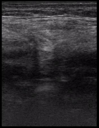
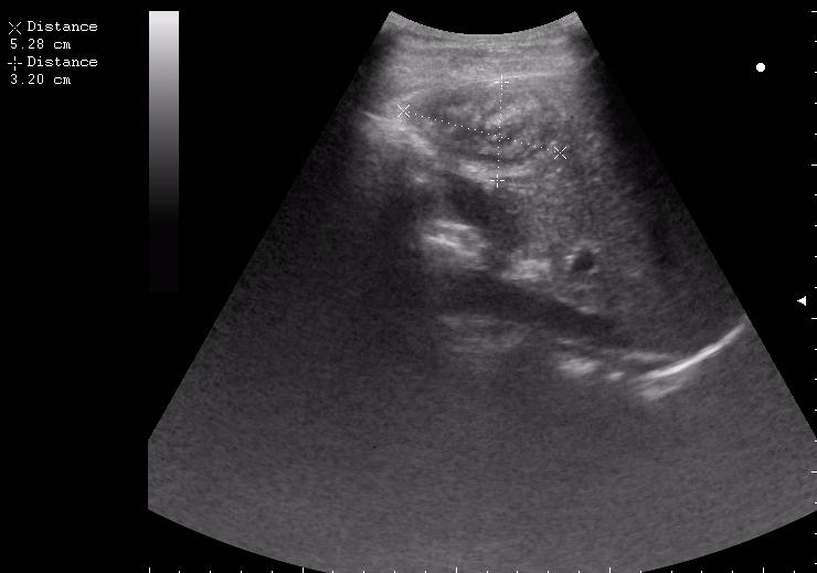
эхинококкоз печени девочка 12 лет.
w.Thyme
Сообщения: 143
Зарегистрирован: 24 апр 2010, 17:46

Re: Эхинококкоз

Сообщение w.Thyme »

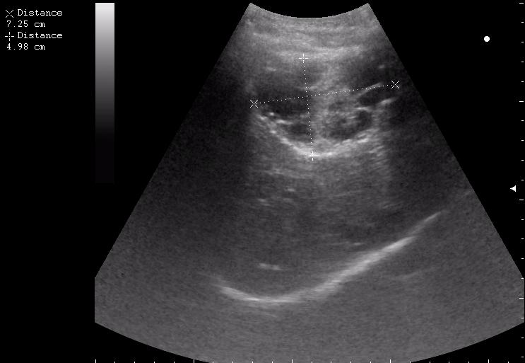
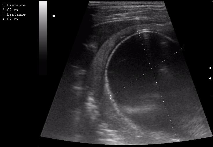
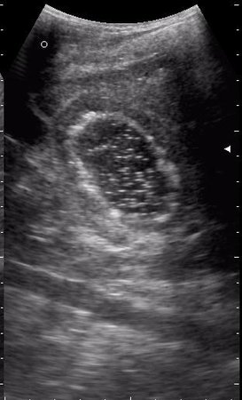
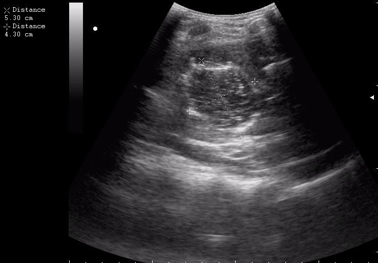
живой эхинококк.
Вложения
165.JPG
w.Thyme
Сообщения: 143
Зарегистрирован: 24 апр 2010, 17:46

Re: Эхинококкоз

Сообщение w.Thyme »

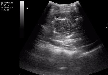
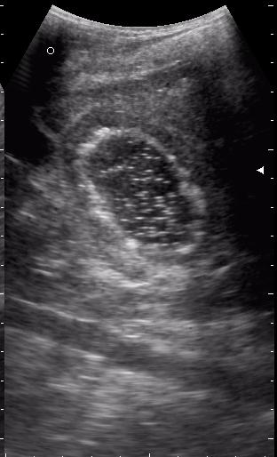
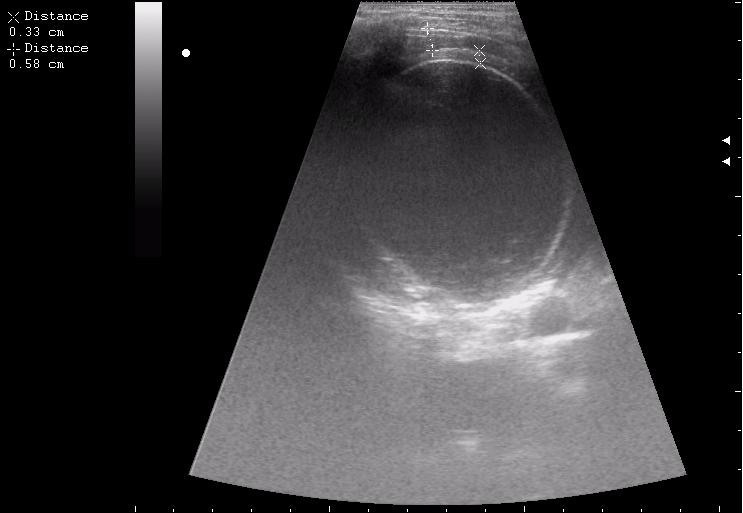
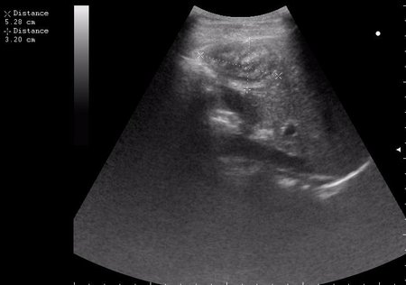
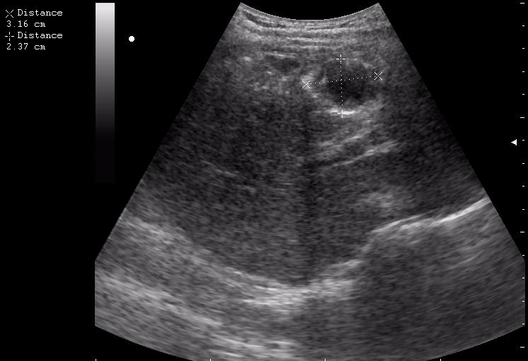
17-летняя девушка с множественными поражениями печени
Вложения
2.JPG
3.JPG
4.JPG
абсцесс передней брюшной стенки (через 2 недели п.о.)
абсцесс передней брюшной стенки (через 2 недели п.о.)
нагноение остаточной полости
нагноение остаточной полости
13.JPG
спустя 8 мес. после операции
спустя 8 мес. после операции
w.Thyme
Сообщения: 143
Зарегистрирован: 24 апр 2010, 17:46

Re: Эхинококкоз

Сообщение w.Thyme »

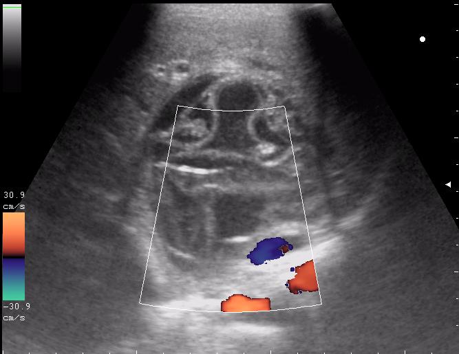
эхинококк лёгкого
Вложения
2.JPG
32.JPG
Ответить

Вернуться в «Абдоминальные исследования»

Кто сейчас на конференции

Сейчас этот форум просматривают: нет зарегистрированных пользователей и 1 гость