КТ Почек- подкова и уретеролитиаз

Почки, мочеточники, мочевой пузырь, уретра. Простата и яички.

Модератор: KsV

Ответить
Аватара пользователя
Dr.Mario
Эксперт
Сообщения: 160
Зарегистрирован: 17 мар 2009, 07:36
Контактная информация:

КТ Почек- подкова и уретеролитиаз

Сообщение Dr.Mario »

Анамнез и клинику писать не буду. ;)
Данное наблюдение весьма демонстративно само по себе.
Вложения
Horseshoe art.0001.jpg
Horseshoe art.0002.jpg
Horseshoe art.0003.jpg
Horseshoe art.0004.jpg
Horseshoe art.0005.jpg
Horseshoe stone.jpg
Horwseshoe MIP.jpg
Let me see...
www.radiographia.ru
Аватара пользователя
KsV
Администратор
Сообщения: 2189
Зарегистрирован: 22 фев 2009, 13:38
Откуда: Беларусь-Lietuva
Контактная информация:

Re: КТ Почек.

Сообщение KsV »

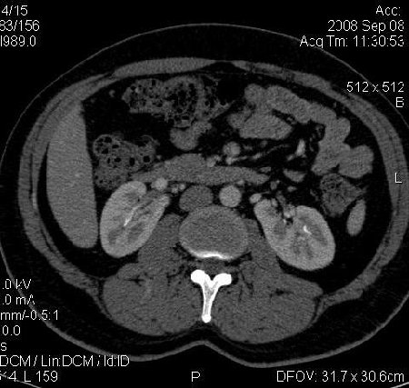
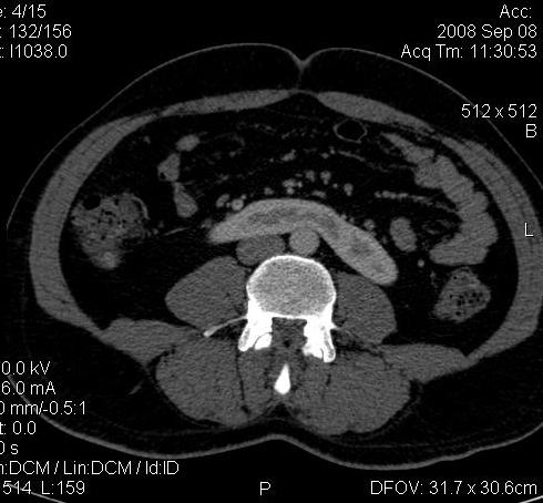
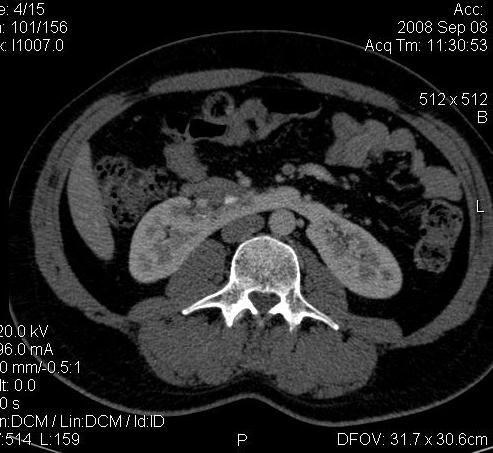
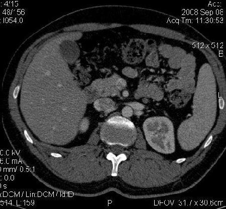
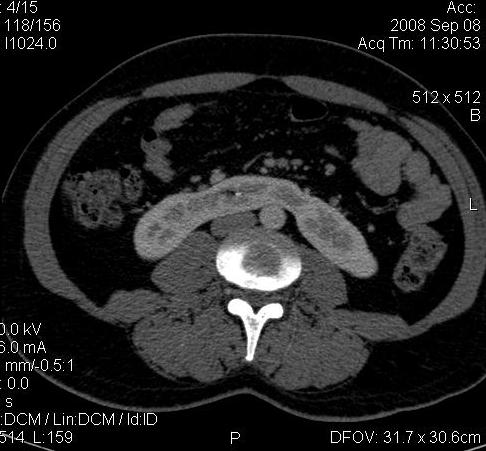
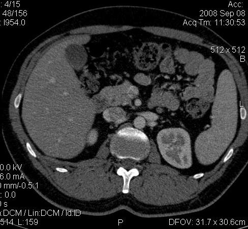
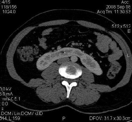
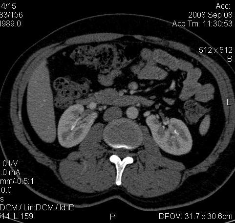
Ну ладно, раз никто больше не хочет, то отвечу свою версию - аномалия развития - подковообразная почка (horseshoe kidney).
marina
Сообщения: 8
Зарегистрирован: 04 апр 2009, 21:14
Контактная информация:

Re: КТ Почек.

Сообщение marina »

Да красивая подковообразная почка - встречала раз 6-7.
А.М.Шифрин
Сообщения: 60
Зарегистрирован: 12 апр 2009, 18:41
Контактная информация:

Re: КТ Почек.

Сообщение А.М.Шифрин »

Не вызывает сомнений. Картинка замечательная. Должно быть хорошо видно и на УЗИ.
Брехт
Сообщения: 99
Зарегистрирован: 16 июн 2009, 08:13
Контактная информация:

Re: КТ Почек.

Сообщение Брехт »

Интересно: какая клиника?
Аватара пользователя
Dr.Mario
Эксперт
Сообщения: 160
Зарегистрирован: 17 мар 2009, 07:36
Контактная информация:

Re: КТ Почек. Почечная колика

Сообщение Dr.Mario »

Почечная колика; на последнем аксиальном скане чётко виден мелкий (2 мм) камень в устье правого мочеточника.
Вложения
Horseshoe stone.jpg
Horseshoe stone.jpg (42.2 КБ) 3049 просмотров
Аватара пользователя
KsV
Администратор
Сообщения: 2189
Зарегистрирован: 22 фев 2009, 13:38
Откуда: Беларусь-Lietuva
Контактная информация:

Re: КТ Почек. Почечная колика

Сообщение KsV »

Dr.Mario писал(а):Почечная колика; на последнем аксиальном скане чётко виден мелкий (2 мм) камень в устье правого мочеточника.
Да, поучительно.
Нужно смотреть все сканы. :oops:
besliu
Сообщения: 142
Зарегистрирован: 11 окт 2009, 08:31
Контактная информация:

Re: КТ Почек- подкова и уретеролитиаз

Сообщение besliu »

Для невладеющего КТ,очень четка видна аномалия на 3-4х снимках.А вот на 4-м скане в проксим.сегменте цистоида тоже есть гиперденсное точечное образование-не камень случайно?
Ответить

Вернуться в «Уронефрологические исследования»

Кто сейчас на конференции

Сейчас этот форум просматривают: нет зарегистрированных пользователей и 1 гость