Гипостеатоз крючковидного отростка панкреас
- KsV
- Администратор
- Сообщения: 2189
- Зарегистрирован: 22 фев 2009, 13:38
- Откуда: Беларусь-Lietuva
- Контактная информация:
Гипостеатоз крючковидного отростка панкреас
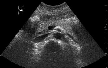
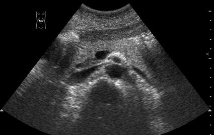
Пациент 35 лет, без жалоб, профилактический осмотр.
По задней поверхности головки панкреас имеется участок сниженной эхогенности.
Как можно трактовать выявленные изменения?
По задней поверхности головки панкреас имеется участок сниженной эхогенности.
Как можно трактовать выявленные изменения?
Re: Изменения поджелудочной железы
Такие находки надо трактовать как вариант нормы. Более подробно эта тема была освещена на радиография.ру
http://www.radiographia.ru/node/832
http://radiographia.ru/node/630
и эхография.ру.
http://www.radiographia.ru/node/832
http://radiographia.ru/node/630
и эхография.ру.
Re: Изменения поджелудочной железы
по видимому лимфоузел
Re: Изменения поджелудочной железы
Уцважаемый ФАМ: В том-то и дело, что это не лимфоузел, а вариант нормальной эхо-картины головки поджелудочной железы.ФАМ писал(а):по видимому лимфоузел
http://allradiology.blogspot.com/2008/1 ... t_838.html
http://www.radiographia.ru/node/832
http://radiographia.ru/node/630
http://echographia.ru/forum/index.php?topic=152.0
Цитата: "The hypoechoic area is located posteriorly in the head and typically shows a straight and clear demarcation. This demarcation line corresponds to the level of fusion between both embryonal ventral and dorsal portions of the pancreas. In accordance with the structural differences that have been described between the embryologically derived ventral and dorsal pancreatic portions , has shown that the ventral portion of the pancreas may appear hypoechogenic because more rich of fatty tissue compared to the dorsal portion."
Re: Изменения поджелудочной железы
считаю вариант нормы,так выглядит процессус унцинатус в норме 
Re: Гипостеатоз крючковидного отростка панкреас
по мне так никакого криминала, даже б не заметил 
- KsV
- Администратор
- Сообщения: 2189
- Зарегистрирован: 22 фев 2009, 13:38
- Откуда: Беларусь-Lietuva
- Контактная информация:
Re: Гипостеатоз крючковидного отростка панкреас
Фишка в том, что мне приходилось видеть при такой картинке заключения об опухоли головки панкреас.Serg писал(а):по мне так никакого криминала, даже б не заметил
Re: Гипостеатоз крючковидного отростка панкреас
мда..тут видимо всеё таки избыток информации...который вреден для клинициста...и главное вовремя остановится в своем заключении. 
- KsV
- Администратор
- Сообщения: 2189
- Зарегистрирован: 22 фев 2009, 13:38
- Откуда: Беларусь-Lietuva
- Контактная информация:
Re: Гипостеатоз крючковидного отростка панкреас
Согласен, обычно в таких случаях пишется норма, гипостеатоз - для любителей академических заключений.
Кто сейчас на конференции
Сейчас этот форум просматривают: нет зарегистрированных пользователей и 0 гостей