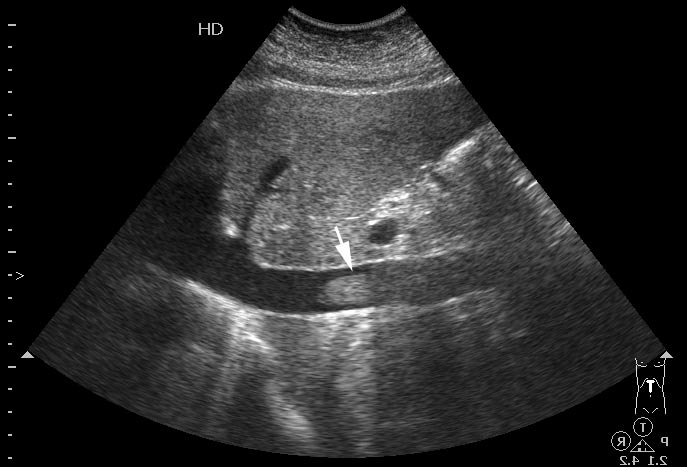
УЗИ: тромб в НПВ

Аорта и НПВ. Периферические артерии и вены.
Только верифицированые изображения
Ответить
Аватара пользователя
KsV
Администратор
Сообщения: 2191
Зарегистрирован: 22 фев 2009, 13:38
Откуда: Беларусь-Lietuva
Контактная информация:

УЗИ: тромб в НПВ

Сообщение KsV »

Женщина средних лет из терапевтического отделения, диагноз - острая внегоспитальная пневмония.
11-06-20-084906_4899.jpg
видео
11-06-20-084906_4899.avi
(1.74 МБ) 114 скачиваний
tags: IVC thrombosis, sonography
zubr
Сообщения: 15
Зарегистрирован: 17 ноя 2009, 17:45
Контактная информация:

Re: УЗИ: тромб в НПВ

Сообщение zubr »

Это тромб в НПВ. А что в клинике? Интересно ЦДК
Ответить

Вернуться в «Cосуды»

Кто сейчас на конференции

Сейчас этот форум просматривают: нет зарегистрированных пользователей и 0 гостей