УЗИ: обломок электрода искусственного водителя ритма в НПВ

Аорта и НПВ. Периферические артерии и вены.
Только верифицированые изображения
Ответить
Аватара пользователя
KsV
Администратор
Сообщения: 2189
Зарегистрирован: 22 фев 2009, 13:38
Откуда: Беларусь-Lietuva
Контактная информация:

УЗИ: обломок электрода искусственного водителя ритма в НПВ

Сообщение KsV »

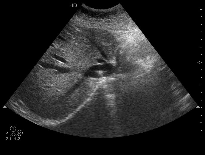
Женшина с жалобами на боли в животе поступила в хирургическое отделение. Боли локализуются в эпигастральной области, непостоянные.
Температуры нет.
11-10-24-103137_8403_201110.jpg
phpBB [video]


phpBB [video]
Serg
Сообщения: 252
Зарегистрирован: 15 июн 2011, 20:52
Контактная информация:

Re: Женшина с жалобами на боли в животе

Сообщение Serg »

в нижней полой какое то эхогенное включение... :shock: ну тромб наверное, что ещо то...
marusja
Сообщения: 3
Зарегистрирован: 13 янв 2011, 19:22
Контактная информация:

Re: Женшина с жалобами на боли в животе

Сообщение marusja »

Инородное тело нижней полой вены... Возможно, электрод искусственного водителя ритма... А какие оперативные вмешательства в анамнезе?
Аватара пользователя
KsV
Администратор
Сообщения: 2189
Зарегистрирован: 22 фев 2009, 13:38
Откуда: Беларусь-Lietuva
Контактная информация:

Re: Женшина с жалобами на боли в животе

Сообщение KsV »

marusja писал(а):Инородное тело нижней полой вены... Возможно, электрод искусственного водителя ритма... А какие оперативные вмешательства в анамнезе?
+1
Он, родимый.
Поставили со второго раза, первый обломался.
Ответить

Вернуться в «Cосуды»

Кто сейчас на конференции

Сейчас этот форум просматривают: нет зарегистрированных пользователей и 1 гость