УЗИ лёгких у ребёнка 4-х лет

Только верифицированые изображения
Ответить
Аватара пользователя
valeriy.andilevko
Сообщения: 194
Зарегистрирован: 01 мар 2011, 19:34
Откуда: Витебск
Контактная информация:

УЗИ лёгких у ребёнка 4-х лет

Сообщение valeriy.andilevko »

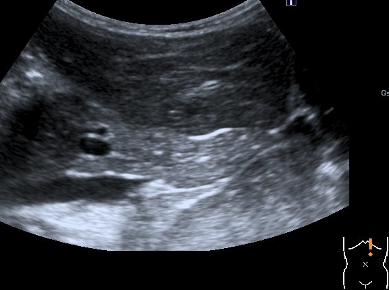
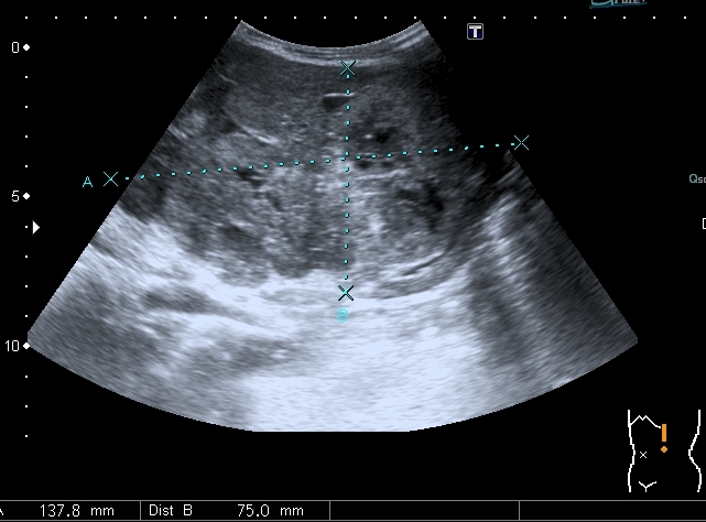
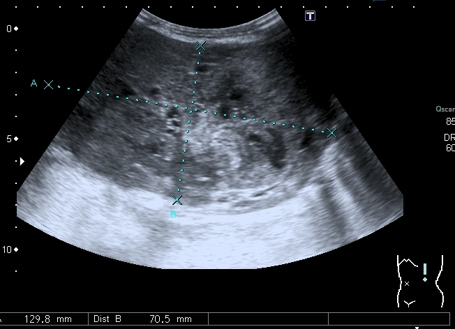
Предлагаю интересные изображения, полученные при сканировании лёгких через межрёберные промежутки и печень у ребёнка 4-х лет с подозрением на пневмонию
I20111109161200843.jpg
I20111109161200843.jpg (19.07 КБ) 7017 просмотров
I20111109161201203.jpg
I20111109161201203.jpg (14.36 КБ) 7017 просмотров
I20111109161201125.jpg
I20111109161201125.jpg (12.84 КБ) 7017 просмотров
I20111109161201031.jpg
I20111109161201031.jpg (14.4 КБ) 7017 просмотров
Ваше мнение?
Serg
Сообщения: 252
Зарегистрирован: 15 июн 2011, 20:52
Контактная информация:

Re: УЗИ лёгких у ребёнка 4-х лет

Сообщение Serg »

участок безвоздушной легочной ткани....похож на печень...пневмония в стадии опеченения... ;)
Аватара пользователя
valeriy.andilevko
Сообщения: 194
Зарегистрирован: 01 мар 2011, 19:34
Откуда: Витебск
Контактная информация:

Re: УЗИ лёгких у ребёнка 4-х лет

Сообщение valeriy.andilevko »

Согласен в отношении нижней доли правого лёгкого, изменения в ней похожи на сливную инфильтрацию при пневмонии, хотя носят несколько многоузловой характер. Но то что мы видим со спины в левом лёгком на пневмоническую инфильтрацию не похоже.
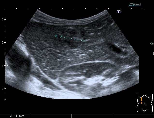
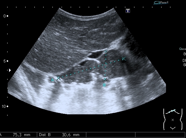
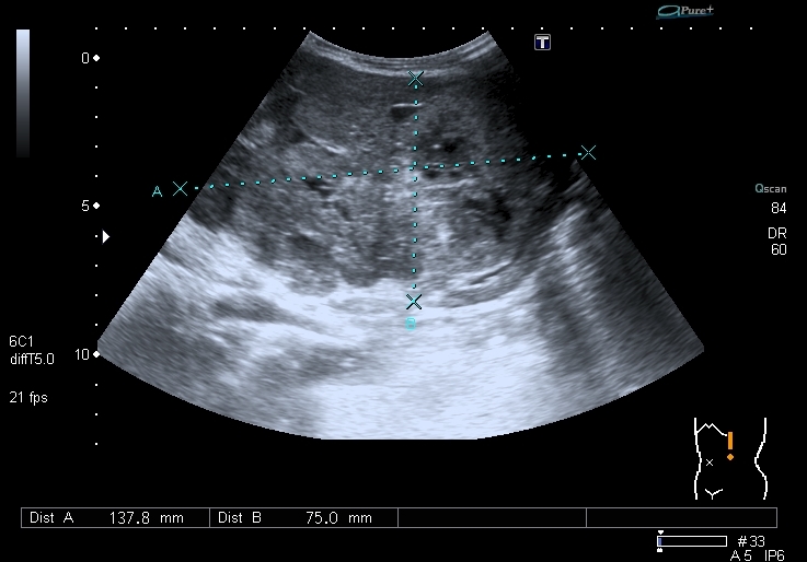
Добавляю сканы печени, я думаю они являются хорошей подсказкой о природе изменений в лёгких
Правая доля печени
Правая доля печени
Она же  с  высокочастотным датчиком субкапсулярно
Она же с высокочастотным датчиком субкапсулярно
Левая доля печени
Левая доля печени
Она же
Она же
Аватара пользователя
valeriy.andilevko
Сообщения: 194
Зарегистрирован: 01 мар 2011, 19:34
Откуда: Витебск
Контактная информация:

Re: УЗИ лёгких у ребёнка 4-х лет

Сообщение valeriy.andilevko »

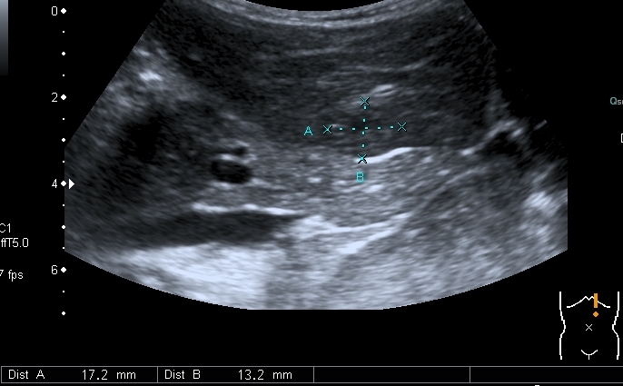
Добавлю ещё сканы, что бы активизировать общество ( показался рояль из кустов :) )
I20111109161150406.jpg
I20111109161150500.jpg
Аватара пользователя
KsV
Администратор
Сообщения: 2191
Зарегистрирован: 22 фев 2009, 13:38
Откуда: Беларусь-Lietuva
Контактная информация:

Re: УЗИ лёгких у ребёнка 4-х лет

Сообщение KsV »

Ну, раз других версий нет, то предположу лимфому с поражением ЛУ, печени.
Опять же, есть возможность биопсии.
Аватара пользователя
valeriy.andilevko
Сообщения: 194
Зарегистрирован: 01 мар 2011, 19:34
Откуда: Витебск
Контактная информация:

Re: УЗИ лёгких у ребёнка 4-х лет

Сообщение valeriy.andilevko »

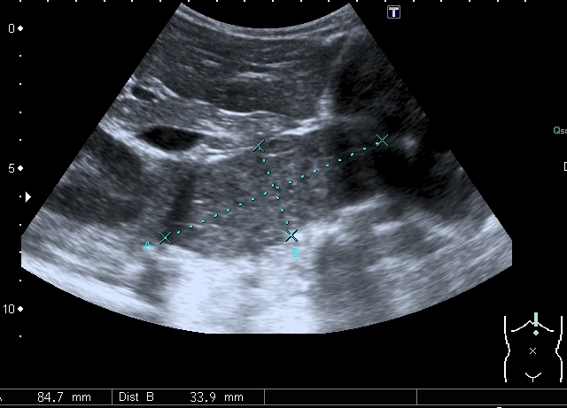
Добавляю источник изменений в легких, печени и забрюшинном пространстве
I20111109161150875.jpg
I20111109161150593.jpg
I20111109161200750.jpg
Всё левое подреберье было выполнено опухолевым конгломератом, источником его я предположил левую почку, хотя разобраться , где почка, селезёнка, а тем более надпочечник я не смог.
По сложившейся тактике при обнаружении опухолевых образований мы не занимаемся морфологической верификацией, а отправляем ребёнка в головное учреждение, наверное это правильно - в лечении детских опухолей иногда бывают важны даже часы. Тем не менее , по УЗИ картине больше данных за нефробластому - есть остатки деформированной собирательной системы в области нижнего полюся образования, там же - немного ткани, похожей на нормальную почечную.
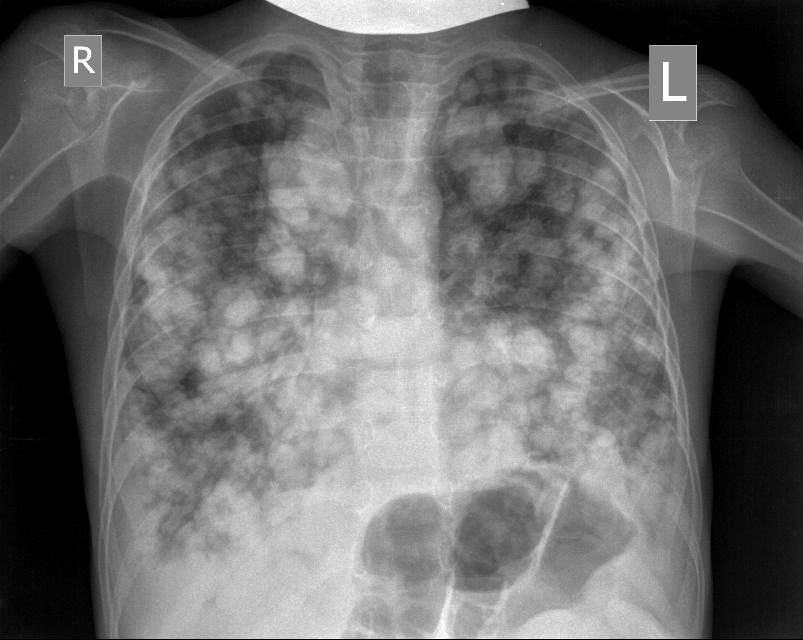
И в довершение - рентгенограмма лёгких для верификации ультразвуковых изображений.
CR0002.jpg
Я думал, что такое бывает только в старых книгах :shock: :o
Аватара пользователя
KsV
Администратор
Сообщения: 2191
Зарегистрирован: 22 фев 2009, 13:38
Откуда: Беларусь-Lietuva
Контактная информация:

Re: УЗИ лёгких у ребёнка 4-х лет

Сообщение KsV »

Мда, запущенный случай.

И что, ребенок до этого момента никак не обследовался?

ЦДК\ЭД этих образований не делали? По идее при "пневмонии" должен сохраниться "нормальный" сосудистый рисунок (как при исследовании печени), при MT он должен быть бессистемным.
Аватара пользователя
valeriy.andilevko
Сообщения: 194
Зарегистрирован: 01 мар 2011, 19:34
Откуда: Витебск
Контактная информация:

Re: УЗИ лёгких у ребёнка 4-х лет

Сообщение valeriy.andilevko »

Ребёнок действительно до этого не обследовался, в течение недели лечил дома бронхит, был направлен в стационар участковым педиатром, который обнаружил увеличенную печень (действительно край выступает из - под рёберной дуги ~ на 4 см) и селезёнку (пропальпировал образование в левой половине брюшной полости) . У ребёнка при поступлении - явная кахексия. Родители привыкают к виду больных детей - у меня в архиве есть пара исследований с объёмными образованиями брюшной полости, занимающими до половины её объёма. Живот у таких детей - явно как гора, но родителям он кажется нормальным.
ЦДК образований в лёгких не делал, если быть откровенным, порядок находок у этого пациента был следующим: МТС в печени - изменения в нижней доле правого лёгкого - забрюшиное пространство - левая почка - левое лёгкое - правое лёгкое - рентген лёгких. Картина в комплексе была и так ясна, т.е. то, что это MTS сомнений не вызывало. Ну а после патогномоничной рентгеновской картины - вопросов тем более не было.
В медицине диагнозы ставит не тот, кто должен, а тот, кто может... :cry:
Аватара пользователя
KsV
Администратор
Сообщения: 2191
Зарегистрирован: 22 фев 2009, 13:38
Откуда: Беларусь-Lietuva
Контактная информация:

Re: УЗИ лёгких у ребёнка 4-х лет

Сообщение KsV »

Да, отличное наблюдение!

Давайте еще!
Аватара пользователя
valeriy.andilevko
Сообщения: 194
Зарегистрирован: 01 мар 2011, 19:34
Откуда: Витебск
Контактная информация:

Re: УЗИ лёгких у ребёнка 4-х лет

Сообщение valeriy.andilevko »

Пришло извещение на онкозапущенность по данному случаю. Верифицирована нефробластома, ребёнок проходит химиотерапию. Только что состоялось заседание комиссии по онкозапущенности, комиссия пришла к выводу, что нужно решать вопрос об УЗИ - скрининге брюшной полости у детей.
Кардиологи говорят о необходимости УЗИ - скрининга сердца;
Нефрологи и урологи - почек;
Ортопеды - тазобедренных суставов;
Неврологи - головного мозга;
Хирурги и гематологи - брюшной полости;
Эндокринологи - щитовидной железы;
И только врачи УЗИ скромно молчат... :P
Ответить

Вернуться в «Исследования в педиатрии»

Кто сейчас на конференции

Сейчас этот форум просматривают: нет зарегистрированных пользователей и 1 гость