Разрыв печени, три случая
- KsV
- Администратор
- Сообщения: 2189
- Зарегистрирован: 22 фев 2009, 13:38
- Откуда: Беларусь-Lietuva
- Контактная информация:
Разрыв печени, три случая
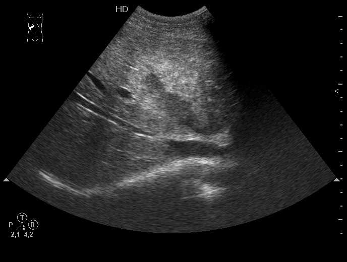
Выставляю картинку, по которой можно установить диагноз практически без дополнительных данных.
#1
#1
Re: Мужчина средних лет, УЗИ ОБП +
гипоэхогенная полоска в печени...может быть разрыв 
- valeriy.andilevko
- Сообщения: 194
- Зарегистрирован: 01 мар 2011, 19:34
- Откуда: Витебск
- Контактная информация:
Re: Мужчина средних лет, УЗИ ОБП +
Не совсем ясна плоскость скана, но могу предположить тромбоз воротной вены.
- valeriy.andilevko
- Сообщения: 194
- Зарегистрирован: 01 мар 2011, 19:34
- Откуда: Витебск
- Контактная информация:
Re: Мужчина средних лет, УЗИ ОБП +
Ну и что же это всё - таки было 
- KsV
- Администратор
- Сообщения: 2189
- Зарегистрирован: 22 фев 2009, 13:38
- Откуда: Беларусь-Lietuva
- Контактная информация:
Re: Мужчина средних лет, УЗИ ОБП +
Все верно, разрыв печени плюс жидкость в боковом синусе плевральной полости.
- valeriy.andilevko
- Сообщения: 194
- Зарегистрирован: 01 мар 2011, 19:34
- Откуда: Витебск
- Контактная информация:
Re: Мужчина средних лет, УЗИ ОБП +
Да, с боди - маркером и анамнезом всё былобы гораздо яснее 
- KsV
- Администратор
- Сообщения: 2189
- Зарегистрирован: 22 фев 2009, 13:38
- Откуда: Беларусь-Lietuva
- Контактная информация:
Re: Мужчина средних лет, УЗИ ОБП +
Вся фишка в том, чтоб без анамнеза.valeriy.andilevko писал(а):Да, с боди - маркером и анамнезом всё былобы гораздо яснее
Serg - молодец, разгадали.
Ультразвуковая семиотика разрыва довольно типична. Разместить эту сонограмму решил после того, как увидел протокол из одной авторитетной клиники, где гемангиома была трактована как разрыв печени и внутрипеченочная гематома.
Re: Мужчина средних лет, УЗИ ОБП +
Картинка типичная, встречается в учебниках...а в реале я не встречал... 
- valeriy.andilevko
- Сообщения: 194
- Зарегистрирован: 01 мар 2011, 19:34
- Откуда: Витебск
- Контактная информация:
Re: Мужчина средних лет, УЗИ ОБП +
Всё впереди
+1
+1
- KsV
- Администратор
- Сообщения: 2189
- Зарегистрирован: 22 фев 2009, 13:38
- Откуда: Беларусь-Lietuva
- Контактная информация:
Re: Мужчина средних лет, УЗИ ОБП +
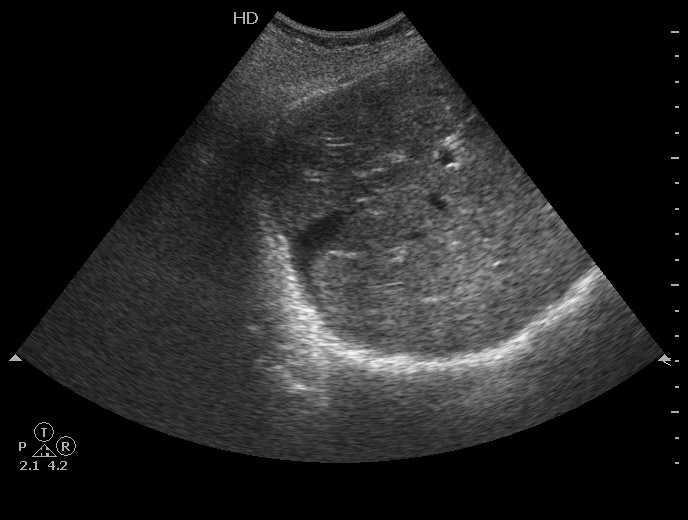
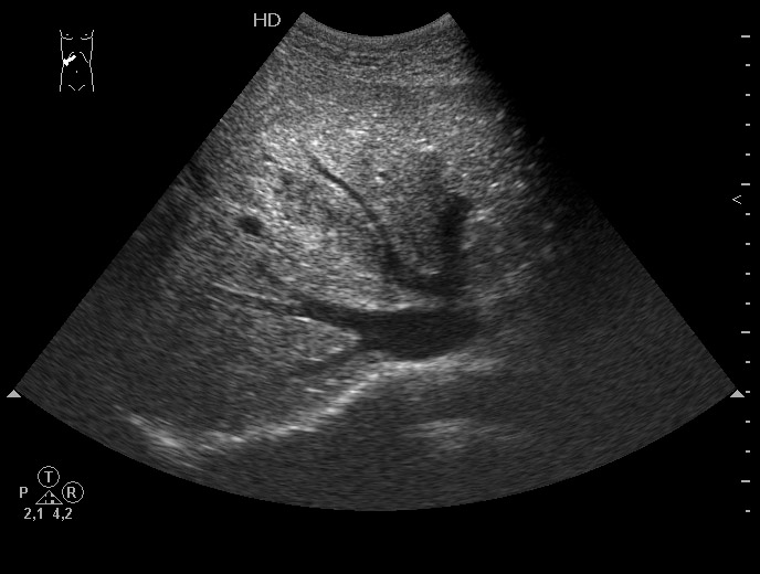
Добавлю еще пару случаев
#2
#3
Краевой разрыв с гемоперитонеумом (вне поля сканирования)
#2
#3
Краевой разрыв с гемоперитонеумом (вне поля сканирования)
Кто сейчас на конференции
Сейчас этот форум просматривают: нет зарегистрированных пользователей и 0 гостей