Рак желчного пузыря #2

Печень, желчный пузырь, поджелудочная железа, селезенка. Кишечник.
Только верифицированые изображения
Ответить
Аватара пользователя
KsV
Администратор
Сообщения: 2191
Зарегистрирован: 22 фев 2009, 13:38
Откуда: Беларусь-Lietuva
Контактная информация:

Рак желчного пузыря #2

Сообщение KsV »

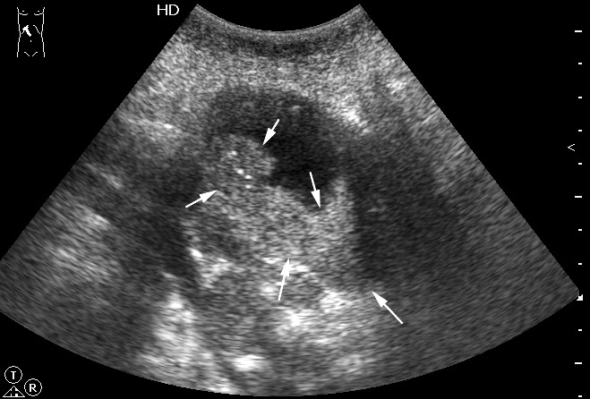
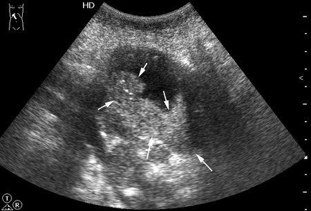
Женщина - пенсионерка. Жалобы скудные, дискомфорт в правом подреберье.
10-12-22-091441_10270_20101.jpg
10-12-22-09144123.jpg
10-12-22-091441_10270_20101222_091441_20101222_091443_0049_xvid.avi
Видео
(1.4 МБ) 90 скачиваний
Ответить

Вернуться в «Абдоминальные исследования»

Кто сейчас на конференции

Сейчас этот форум просматривают: нет зарегистрированных пользователей и 1 гость