Гидронефроз или синусные кисты?

Почки, мочеточники, мочевой пузырь, уретра. Простата и яички.
Изображения для консультации

Модератор: KsV

Аватара пользователя
Инга
Сообщения: 216
Зарегистрирован: 23 ноя 2009, 17:22
Контактная информация:

Re: Гидронефроз или синусные кисты?

Сообщение Инга »

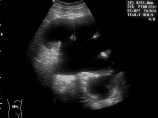
Тему уже давно закрыли, но вот свежая "красивая" картинка; левая почка незначительно увеличена в размерах, без изменений ЧЛС, со слов больного он уже несколько лет наблюдается у уролога:
19122011480_cr.jpg
Аватара пользователя
valeriy.andilevko
Сообщения: 194
Зарегистрирован: 01 мар 2011, 19:34
Откуда: Витебск
Контактная информация:

Re: Гидронефроз или синусные кисты?

Сообщение valeriy.andilevko »

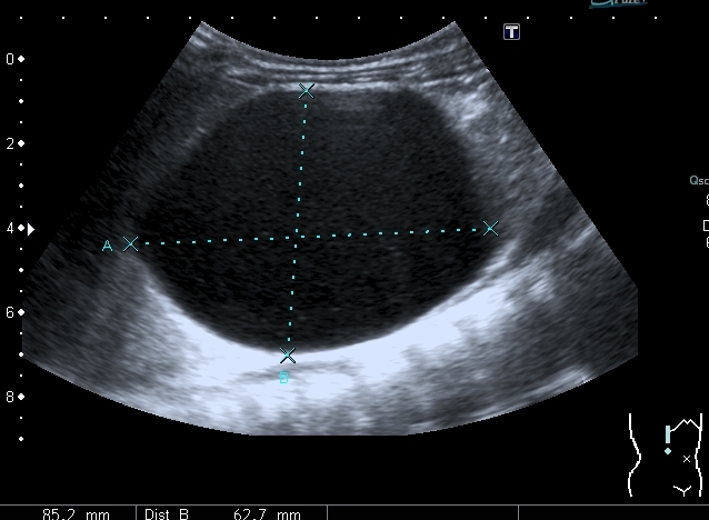
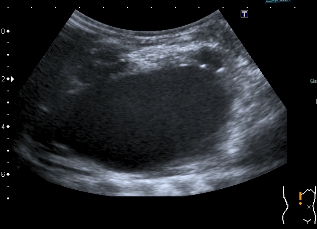
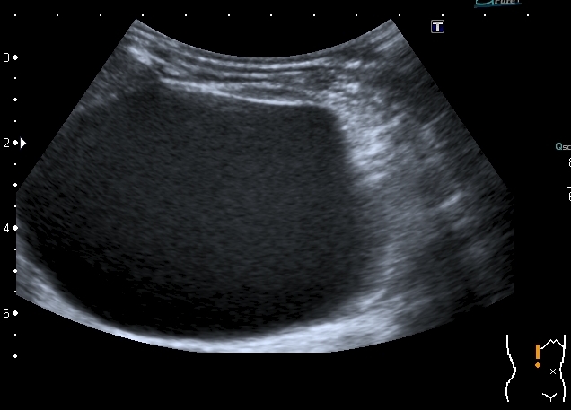
Ещё картинки гидронефроза у ребёнка 6 - ти месяцев, спутать такой гидронефрозище с синусной кистой сложно, а вот с кистой брюшной полости - запросто
I20111223134834609.jpg
I20111223134834781.jpg
I20111223134834859.jpg
Сканирование высокочастотным датчиком  - резидуальная паренхима
Сканирование высокочастотным датчиком - резидуальная паренхима
Ответить

Вернуться в «Уронефрологические исследования»

Кто сейчас на конференции

Сейчас этот форум просматривают: нет зарегистрированных пользователей и 1 гость