Образование в средостении - диафрагмальная грыжа
- valeriy.andilevko
- Сообщения: 194
- Зарегистрирован: 01 мар 2011, 19:34
- Откуда: Витебск
- Контактная информация:
Образование в средостении - диафрагмальная грыжа
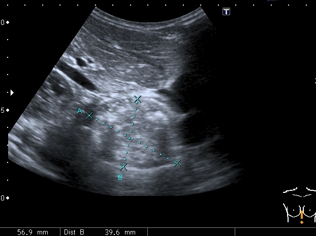
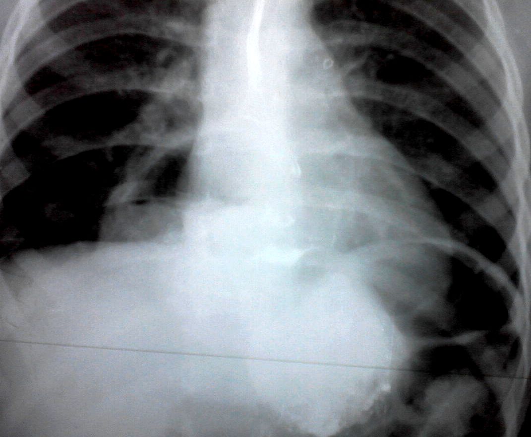
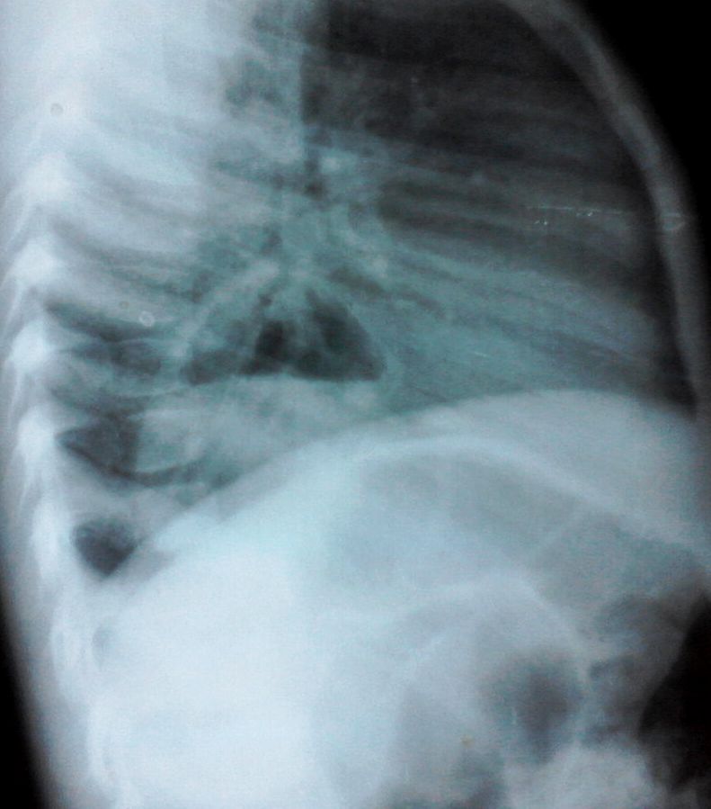
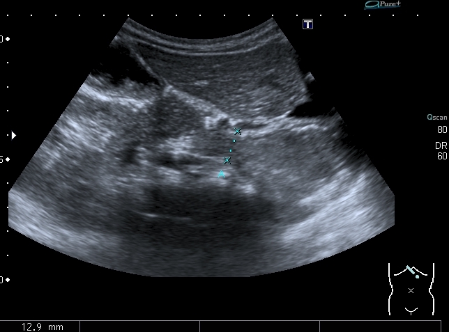
Девочка 4-х лет, жалобы на длительный кашель (оеоло 1-го месяца). В поликлинике выполнена рентгенография органов грудной клетки, выявлены изменения (какие - пока не скажу). Госпитализирована. Направлена на УЗИ сердца. При УЗИ - в самом сердце - патологии не выявлено, но позади него к правому предсердию прилежит полостное образование с акустически неоднородным содержимым.
Жду Ваших предпоожений, по мере их поступления буду добавлять картинки.
Re: Образование в задне - нижнем средостении.
жидкостное с неоднородным содержимым..ну абсцесс, или каверна какая нибудь 
- valeriy.andilevko
- Сообщения: 194
- Зарегистрирован: 01 мар 2011, 19:34
- Откуда: Витебск
- Контактная информация:
Re: Образование в задне - нижнем средостении.
"Serg писал(а):жидкостное с неоднородным содержимым..ну абсцесс, или каверна какая нибудь
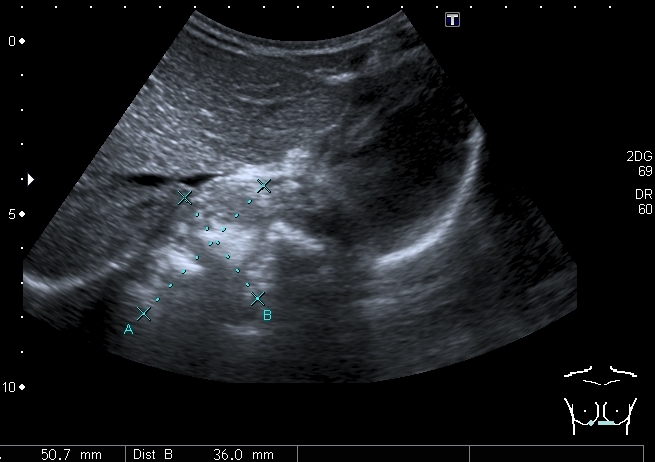
Анализы крови - не изменены, температуры - нет. Девочка чувствует себя хорошо. Небольшая подсказка: я перешёл с секторального кардиологического датчика на абдоминальный...Serg
Последний раз редактировалось valeriy.andilevko 23 дек 2011, 19:57, всего редактировалось 1 раз.
Re: Образование в задне - нижнем средостении.
может почка туда улетела..
- valeriy.andilevko
- Сообщения: 194
- Зарегистрирован: 01 мар 2011, 19:34
- Откуда: Витебск
- Контактная информация:
Re: Образование в задне - нижнем средостении.
KapustinSV писал(а):Имхо диафрагмальная грыжа.
- valeriy.andilevko
- Сообщения: 194
- Зарегистрирован: 01 мар 2011, 19:34
- Откуда: Витебск
- Контактная информация:
Re: Образование в задне - нижнем средостении.
Обещанное видео:
Сканы через пищеводное отверстие диафрагмы
- valeriy.andilevko
- Сообщения: 194
- Зарегистрирован: 01 мар 2011, 19:34
- Откуда: Витебск
- Контактная информация:
Кто сейчас на конференции
Сейчас этот форум просматривают: нет зарегистрированных пользователей и 0 гостей