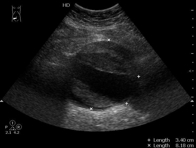
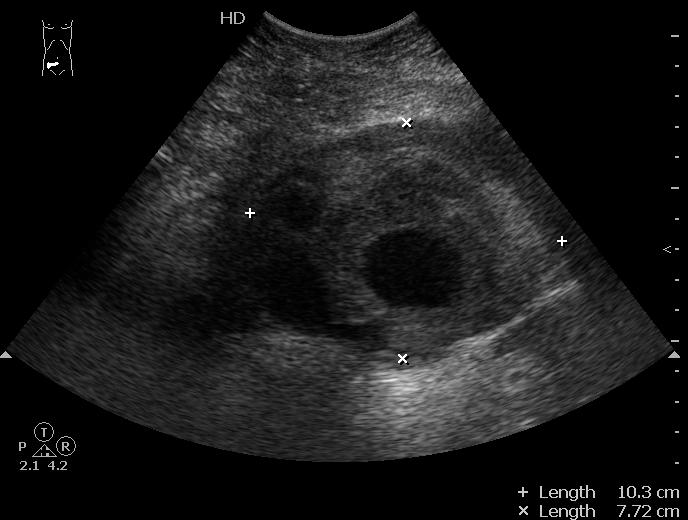
Разрыв аневризмы брюшного отдела аорты
Re: Разрыв аневризмы брюшного отдела аорты
Видео более наглядно:
- Вложения
-
Фильм.wmv- (458.62 КБ) 174 скачивания
- valeriy.andilevko
- Сообщения: 194
- Зарегистрирован: 01 мар 2011, 19:34
- Откуда: Витебск
- Контактная информация:
Re: Разрыв аневризмы брюшного отдела аорты
Что с пациентом? Выжил?
- KsV
- Администратор
- Сообщения: 2191
- Зарегистрирован: 22 фев 2009, 13:38
- Откуда: Беларусь-Lietuva
- Контактная информация:
Re: Разрыв аневризмы брюшного отдела аорты
Да, сегодня пришел своими ножками на контрольное исследование.
Ему выполнена резекция аневризмы, установлен "Y"-протез.
Ему выполнена резекция аневризмы, установлен "Y"-протез.
- valeriy.andilevko
- Сообщения: 194
- Зарегистрирован: 01 мар 2011, 19:34
- Откуда: Витебск
- Контактная информация:
Кто сейчас на конференции
Сейчас этот форум просматривают: нет зарегистрированных пользователей и 1 гость