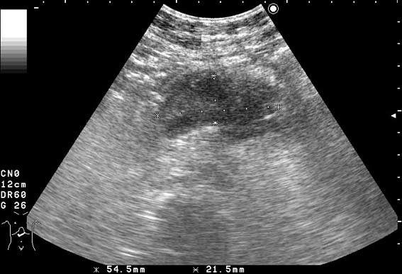
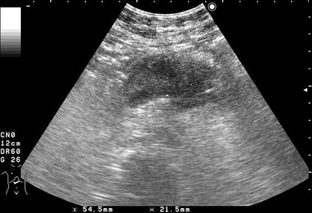
УЗИ панкреас: аденокарцинома тела
УЗИ панкреас: аденокарцинома тела
Женщина 37 лет поступила в хирургическое отделение с жалобами на боли в животе.
На эхограмме продольный срез п.ж.
На эхограмме продольный срез п.ж.
Алекс-Юстасу.
Re: УЗИ поджелудочной железы
однозначно для верификации диагноза нужно делать КТОБП
Re: УЗИ поджелудочной железы
Острый панкреатит. Оментобурсит? Парапанкреатический инфильтрат? 
Re: УЗИ поджелудочной железы
Опухоль
Re: УЗИ поджелудочной железы
Можно подробнее- каких именно?KapustinSV писал(а):Больше данных за опухоль панкреас.
- KsV
- Администратор
- Сообщения: 2191
- Зарегистрирован: 22 фев 2009, 13:38
- Откуда: Беларусь-Lietuva
- Контактная информация:
Re: УЗИ поджелудочной железы
Гипоэхогенное образование в области тела, с неровными контурами.Инга писал(а):Можно подробнее- каких именно?KapustinSV писал(а):Больше данных за опухоль панкреас.
Re: УЗИ поджелудочной железы
Цилиндроклеточная аденокарцинома.
Re: УЗИ поджелудочной железы
Опухрль панкреас.
2 SurgeonA :
А какие признаки могут указать именно на "цилиндроклеточную аденокарциному"?
2 SurgeonA :
А какие признаки могут указать именно на "цилиндроклеточную аденокарциному"?
Алекс-Юстасу.
Re: УЗИ поджелудочной железы
насчет цилиндроклечточной, прикольно 
Кто сейчас на конференции
Сейчас этот форум просматривают: нет зарегистрированных пользователей и 2 гостя