Неполный тромбоз воротной вены и ее ветвей

Аорта и НПВ. Периферические артерии и вены.
Изображения для консультации
Ответить
Аватара пользователя
dok69
Сообщения: 137
Зарегистрирован: 19 дек 2009, 19:32
Откуда: г.Бобруйск
Контактная информация:

Неполный тромбоз воротной вены и ее ветвей

Сообщение dok69 »

Женщина 62 лет.
Наблюдалась и лечилась в Минске, заключение подтверждено ангиографией там же.
Выписана под амбулаторное наблюдение и ленение по месту жительства, рекомендовано УЗИ в динамике.

Видеоролик - http://youtu.be/fuuof8zQcFQ
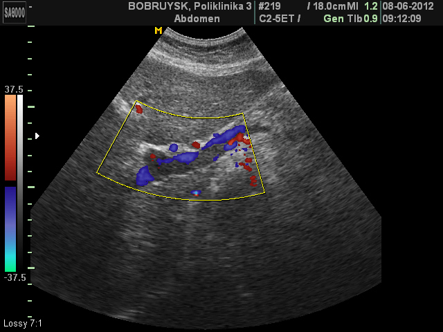
Тромбоз правой и левой ветвей воротной вены
Тромбоз правой и левой ветвей воротной вены
ЦДК, промб в левой ветви ВВ.
ЦДК, промб в левой ветви ВВ.
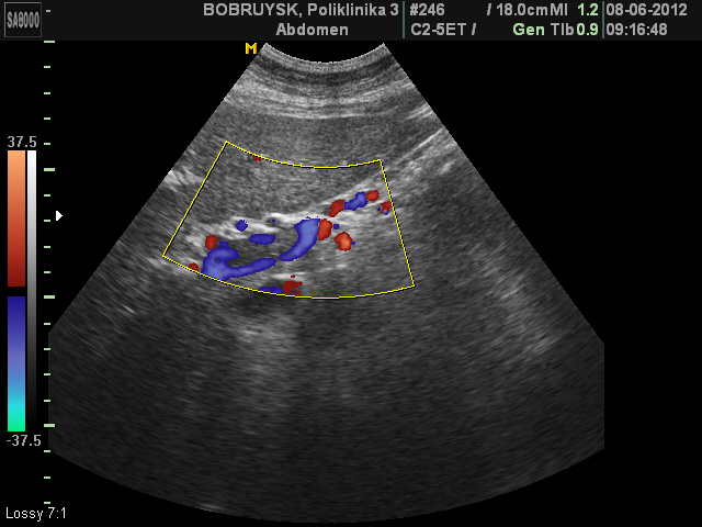
Порто-портальные коллатерали
Порто-портальные коллатерали
http://endosono.ru
*****************************************
Странный этот мир, в котором двое смотрят на одно и тоже, а видят разное.
Агата Кристи.
Аватара пользователя
KsV
Администратор
Сообщения: 2189
Зарегистрирован: 22 фев 2009, 13:38
Откуда: Беларусь-Lietuva
Контактная информация:

Re: Неполный тромбоз воротной вены и ее ветвей

Сообщение KsV »

Очень гут, доказательно.

Интересна причина конкретно этого тромбоза.
У нас в хирургической клинике пилетромбоз чаще всего случается на фоне панкреатитов. Особенностью этих тромбозов является их слабая регрессия; чаще всего они не реканализируются, а кровоток частично восстанавливается через венозные коллатерали.
Аватара пользователя
dok69
Сообщения: 137
Зарегистрирован: 19 дек 2009, 19:32
Откуда: г.Бобруйск
Контактная информация:

Re: Неполный тромбоз воротной вены и ее ветвей

Сообщение dok69 »

Причин данного тромбоза не знаю, т.к пациентка пришла только с предыдущим УЗИ и результатами ангиографии с Минска.
Ни карточки ни выписки на руках не было.
Сослов пациентки, проходит амбулаторное лечение тромболитиками, рекомендовано УЗИ в динамике, по месту жительства и консультации по графику в Минске. :)
http://endosono.ru
*****************************************
Странный этот мир, в котором двое смотрят на одно и тоже, а видят разное.
Агата Кристи.
Ответить

Вернуться в «Cосуды»

Кто сейчас на конференции

Сейчас этот форум просматривают: нет зарегистрированных пользователей и 1 гость