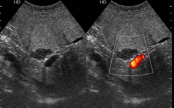
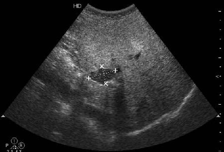
Пациент с клиникой острого холецистита на фоне ЖКБ.
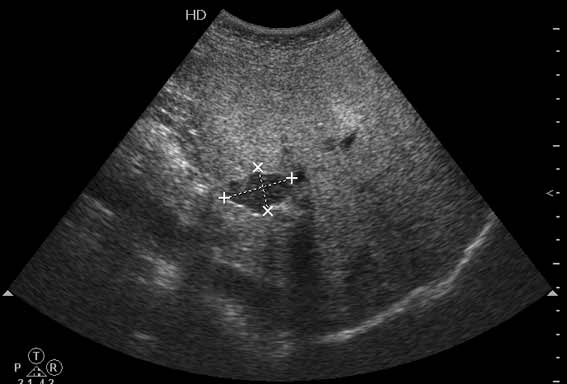
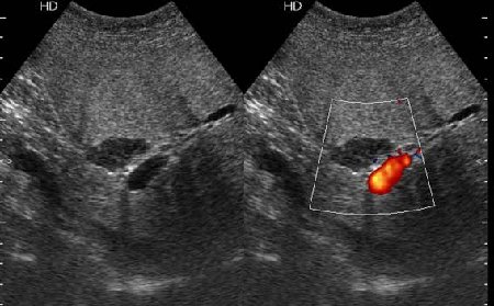
В печени выявлен гипоэхогенный очаг неокруглой формы, аваскулярный при цветовой доплерографии.
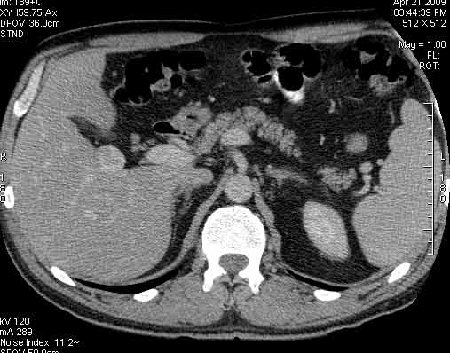
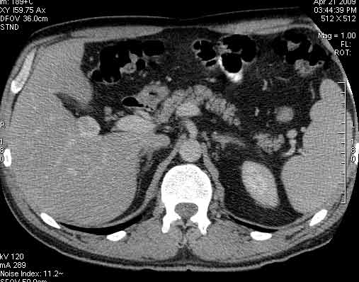
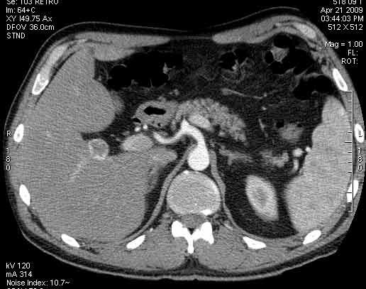
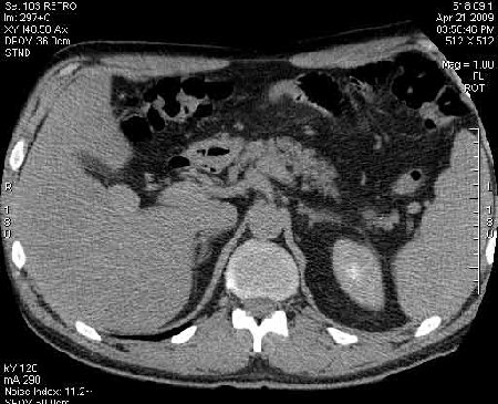
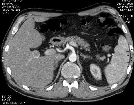
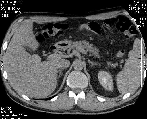
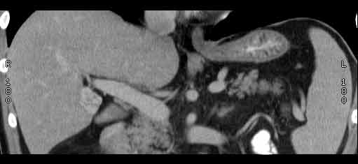
Сонограммы, КТ- артериальная, портальная и отсроченная паренхиматозная фазы
Очаговые изменения печени у мужчины 48 лет
-
А.М.Шифрин
- Сообщения: 60
- Зарегистрирован: 12 апр 2009, 18:41
- Контактная информация:
Re: Очаговые изменения печени у мужчины 48 лет
Уважаемый KapustinSV !
Вы исключаете возможность внепеченочного образования (м.б. прилежит вплотную с печени)?
Вы исключаете возможность внепеченочного образования (м.б. прилежит вплотную с печени)?
- KsV
- Администратор
- Сообщения: 2191
- Зарегистрирован: 22 фев 2009, 13:38
- Откуда: Беларусь-Lietuva
- Контактная информация:
Re: Очаговые изменения печени у мужчины 48 лет
Исключено, образование внутрипеченочное.А.М.Шифрин писал(а):Уважаемый KapustinSV !
Вы исключаете возможность внепеченочного образования (м.б. прилежит вплотную с печени)?
Re: Очаговые изменения печени у мужчины 48 лет
Простая и одновременно "сложная" задачка. По УЗИ; явный стеатоз печёночной паренхимы (теперь ключевые слова); на ФОНЕ СТЕАТОЗА определяется гипоэхогенное образование. Варианты? Очаговое образование; и менее вероятно участок гипостеатоза (но не похоже, есть чёткие границе, + не та локализация).
Сделали КТ (весьма похвальная тактика); по КТ: в артериальную фазу: периферическое усиление в виде сливающихся островков контраста, с центрипетальной направленностью. Венозная и отсроченная фаза-хорошее накопление контраста; образование практически изоденсно по отношению к паренхиме печени. Классика гемангиомы. Вуаля-диагноз на "тарелочке".
Вывод: надо иметь ввиду, что эхогенность это относительное понятие, эхогенность гемангиомы может изменятся при изменении положения обследуемого пациента (см. прикреплённую статью); не надо забывать что эхогенность образование это понятие относительное, т.е. относительно окружающей паренхимы печени! При стеатозе, гемангиома может выглядеть гипоэхогенно по отношению к гиперэхогенной паренхиме окружающей печени. И главное, есть сомнение-заказываем таргетное мультифазовое КТ.
Некоторые атипичные презентации гемангиом можно посмотреть здесь: http://www.ajronline.org/cgi/content/full/174/6/1571
Сделали КТ (весьма похвальная тактика); по КТ: в артериальную фазу: периферическое усиление в виде сливающихся островков контраста, с центрипетальной направленностью. Венозная и отсроченная фаза-хорошее накопление контраста; образование практически изоденсно по отношению к паренхиме печени. Классика гемангиомы. Вуаля-диагноз на "тарелочке".
Вывод: надо иметь ввиду, что эхогенность это относительное понятие, эхогенность гемангиомы может изменятся при изменении положения обследуемого пациента (см. прикреплённую статью); не надо забывать что эхогенность образование это понятие относительное, т.е. относительно окружающей паренхимы печени! При стеатозе, гемангиома может выглядеть гипоэхогенно по отношению к гиперэхогенной паренхиме окружающей печени. И главное, есть сомнение-заказываем таргетное мультифазовое КТ.
Некоторые атипичные презентации гемангиом можно посмотреть здесь: http://www.ajronline.org/cgi/content/full/174/6/1571
- Вложения
-
hemangiomas..pdf- Небольшая статья с обзором различных вариантов УЗИ гемангиом печени.
- (503.78 КБ) 278 скачиваний
- KsV
- Администратор
- Сообщения: 2191
- Зарегистрирован: 22 фев 2009, 13:38
- Откуда: Беларусь-Lietuva
- Контактная информация:
Re: Очаговые изменения печени у мужчины 48 лет
Др Марио, огромная благодарность за ответ.
Еще одна очень полезная ссылка по теме - http://www.radiologyassistant.nl/en/45a ... 9792d012b5
(взята отсюда http://radiographia.ru/node/1257)
Еще одна очень полезная ссылка по теме - http://www.radiologyassistant.nl/en/45a ... 9792d012b5
(взята отсюда http://radiographia.ru/node/1257)
Кто сейчас на конференции
Сейчас этот форум просматривают: нет зарегистрированных пользователей и 1 гость