Абсцессы печени

Печень, желчный пузырь, поджелудочная железа, селезенка. Кишечник.
Только верифицированые изображения
Ответить
Аватара пользователя
KsV
Администратор
Сообщения: 2191
Зарегистрирован: 22 фев 2009, 13:38
Откуда: Беларусь-Lietuva
Контактная информация:

Абсцессы печени

Сообщение KsV »

#1
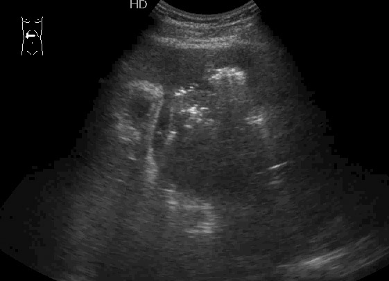
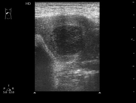
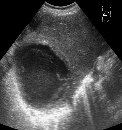
06-12-05-105726_KAZACHENKO-.jpg
06-12-05-105726_KAZACHENKO-.jpg (49.5 КБ) 1487 просмотров
#2
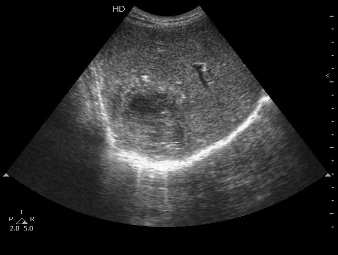
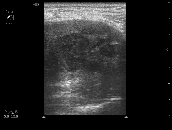
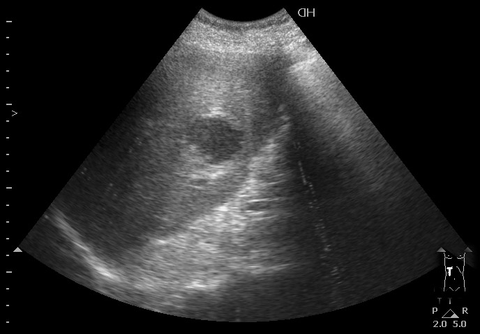
10-04-09-145915_2903_201004.jpg
#3
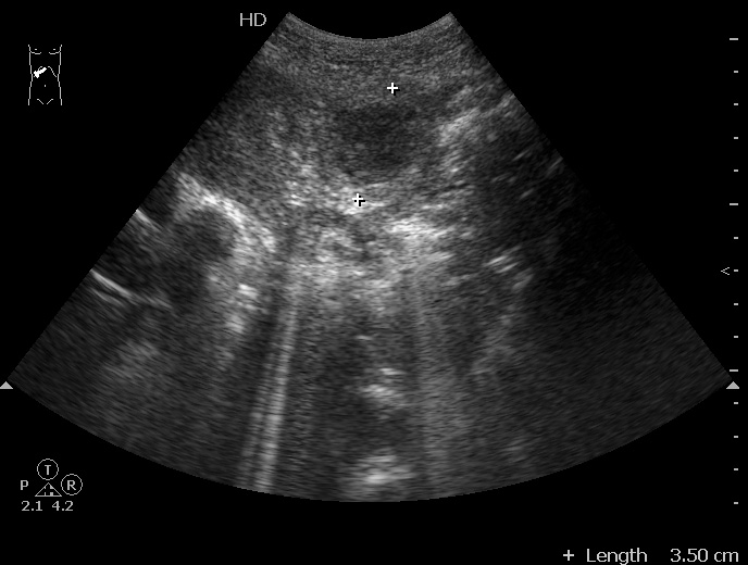
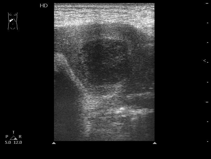
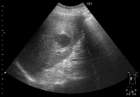
08-09-04-134127_KRAYNOVA_20.jpg

#4
10-05-25-160802_4210_201005.jpg
#5
20080407190021.jpg
Аватара пользователя
KsV
Администратор
Сообщения: 2191
Зарегистрирован: 22 фев 2009, 13:38
Откуда: Беларусь-Lietuva
Контактная информация:

Re: Абсцессы печени

Сообщение KsV »

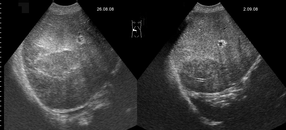
Типичная картина ##1-4:

Гипоэхогенное неоднородное округлое образование, окруженное эхогенным "демаркационным валом"
измененной паренхимы печени.

#5: Эмфизематозный абсцесс - в полости газ, экранирующий его содержимое.
Аватара пользователя
KsV
Администратор
Сообщения: 2191
Зарегистрирован: 22 фев 2009, 13:38
Откуда: Беларусь-Lietuva
Контактная информация:

Re: Абсцессы печени

Сообщение KsV »

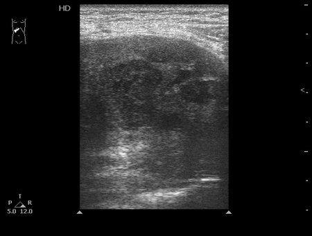
Лечение:

Абсцессы, которые можем задренировать - дренируем.
abscdrenaige.jpg

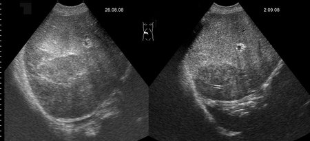
Те, которые не можем задренировать - проводим АБ-терапию.
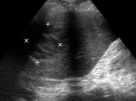
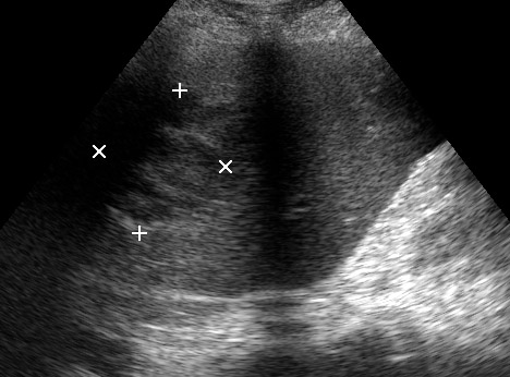
Маленький абсцесс печени до и на фоне 1 недели АБ-терапии
Маленький абсцесс печени до и на фоне 1 недели АБ-терапии
Аватара пользователя
valeriy.andilevko
Сообщения: 194
Зарегистрирован: 01 мар 2011, 19:34
Откуда: Витебск
Контактная информация:

Re: Абсцессы печени

Сообщение valeriy.andilevko »

KapustinSV писал(а):Лечение:

Абсцессы, которые можем задренировать - дренируем.

Те, которые не можем задренировать - проводим АБ-терапию.
Сергей Васильевич, а как оценить возможность и перспективность дренирования абсцесса по УЗИ?
Аватара пользователя
KsV
Администратор
Сообщения: 2191
Зарегистрирован: 22 фев 2009, 13:38
Откуда: Беларусь-Lietuva
Контактная информация:

Re: Абсцессы печени

Сообщение KsV »

Очень просто - если можете задренировать и технически возможно дренирование, то его нужно выполнять. Любое дренирование является перспективным.
В нормальном мире уже давно не оперируют открыто абсцессы брюшной полости.
Аватара пользователя
valeriy.andilevko
Сообщения: 194
Зарегистрирован: 01 мар 2011, 19:34
Откуда: Витебск
Контактная информация:

Re: Абсцессы печени

Сообщение valeriy.andilevko »

KapustinSV писал(а):

Те, которые не можем задренировать - проводим АБ-терапию.
abscess-one_week_treatment.jpg
А какие ограничения для дренирования были в данном случае?
Аватара пользователя
KsV
Администратор
Сообщения: 2191
Зарегистрирован: 22 фев 2009, 13:38
Откуда: Беларусь-Lietuva
Контактная информация:

Re: Абсцессы печени

Сообщение KsV »

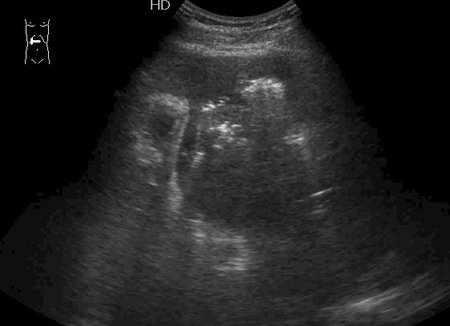
Плохая доступность. Был расположен очень высоко и был небольших размеров.

Решено было вести консервативно.
Аватара пользователя
KsV
Администратор
Сообщения: 2191
Зарегистрирован: 22 фев 2009, 13:38
Откуда: Беларусь-Lietuva
Контактная информация:

Re: Абсцессы печени

Сообщение KsV »

#6

Пожилой мужчина, мы ему уже дренировали абсцесс левой доли печени как минимум полгода назад.
Опять температура, симптомы интоксикации.

В левой доле определяется один крупный и несколько мелких абсцессов.
12-07-19-113514_5813_0.jpg
12-07-19-113514_1.jpg
12-07-19-113514_5813_2.jpg
Больший абсцесс задренирован, мелкие раздренировались самостоятельно в бОльший.

У него же, по-видимому, мелкие протоковые конкрменты:
12-07-19-113514_5813_20120719_18_xvid.avi
(1.06 МБ) 80 скачиваний
Ответить

Вернуться в «Абдоминальные исследования»

Кто сейчас на конференции

Сейчас этот форум просматривают: нет зарегистрированных пользователей и 0 гостей