Загадка "на смекалку" :-) УЗИ, о.аппендицит

Печень, желчный пузырь, поджелудочная железа, селезенка. Кишечник.
Только верифицированые изображения
Ответить
Аватара пользователя
Инга
Сообщения: 216
Зарегистрирован: 23 ноя 2009, 17:22
Контактная информация:

Загадка "на смекалку" :-) УЗИ, о.аппендицит

Сообщение Инга »

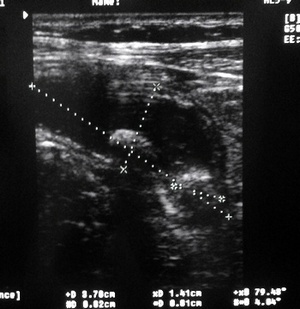
Как вы думаете, что это??? ;)
20032012632.jpg
20032012632.jpg (55.92 КБ) 796 просмотров
Serg
Сообщения: 252
Зарегистрирован: 15 июн 2011, 20:52
Контактная информация:

Re: Загадка "на смекалку" :-)

Сообщение Serg »

жидкостная тубулярная структура с конкрементами?
1. Воспаленный аппендикс, копролитами- фекалитами... :)
2.Жолчный пузырь...
но скорее первое, чем второе..
Аватара пользователя
Инга
Сообщения: 216
Зарегистрирован: 23 ноя 2009, 17:22
Контактная информация:

Re: Загадка "на смекалку" :-)

Сообщение Инга »

Serg, вы правы. п1-совершенно верно!!! :D
Аватара пользователя
KsV
Администратор
Сообщения: 2191
Зарегистрирован: 22 фев 2009, 13:38
Откуда: Беларусь-Lietuva
Контактная информация:

Re: Загадка "на смекалку" :-)

Сообщение KsV »

ЧУДО!

Инга, хочу такую картинку в коллекцию.

Пжлста!
Аватара пользователя
Инга
Сообщения: 216
Зарегистрирован: 23 ноя 2009, 17:22
Контактная информация:

Re: Загадка "на смекалку" :-)

Сообщение Инга »

KapustinSV писал(а):ЧУДО!
Инга, хочу такую картинку в коллекцию.
Пжлста!
Ок! Будет вам пополнение коллекции. :lol:
Serg
Сообщения: 252
Зарегистрирован: 15 июн 2011, 20:52
Контактная информация:

Re: Загадка "на смекалку" :-)

Сообщение Serg »

KapustinSV писал(а):ЧУДО!

Инга, хочу такую картинку в коллекцию.

Пжлста!
а что Вы коллекционируете?
Аватара пользователя
KsV
Администратор
Сообщения: 2191
Зарегистрирован: 22 фев 2009, 13:38
Откуда: Беларусь-Lietuva
Контактная информация:

Re: Загадка "на смекалку" :-)

Сообщение KsV »

Serg писал(а): а что Вы коллекционируете?
Редкие и нечастые случаи.
Serg
Сообщения: 252
Зарегистрирован: 15 июн 2011, 20:52
Контактная информация:

Re: Загадка "на смекалку" :-)

Сообщение Serg »

а в чем редкость этого случая..наличие аппендиколита?
Аватара пользователя
KsV
Администратор
Сообщения: 2191
Зарегистрирован: 22 фев 2009, 13:38
Откуда: Беларусь-Lietuva
Контактная информация:

Re: Загадка "на смекалку" :-)

Сообщение KsV »

Serg писал(а):а в чем редкость этого случая..наличие аппендиколита?
Нет.
О.аппендицит с картиной о.холецистита )
Ответить

Вернуться в «Абдоминальные исследования»

Кто сейчас на конференции

Сейчас этот форум просматривают: нет зарегистрированных пользователей и 1 гость