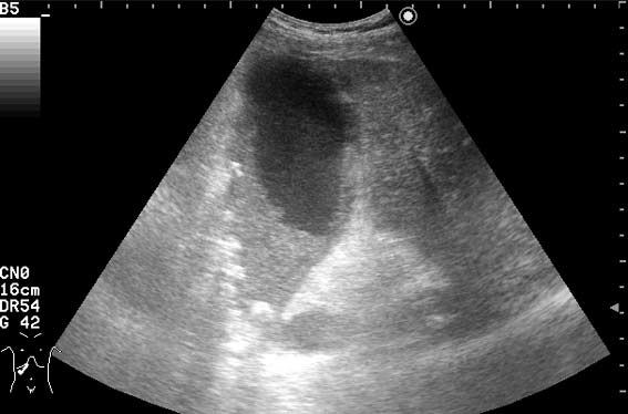
УЗИ: Острый гангренозный холецистит
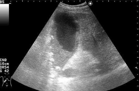
УЗИ: Острый гангренозный холецистит
Мужчина с болями вправом подреберье и температурой.
Алекс-Юстасу.
Re: УЗИ опять желчного
ЖКБ. Острый гангренозный холецистит?
Кто сейчас на конференции
Сейчас этот форум просматривают: нет зарегистрированных пользователей и 1 гость