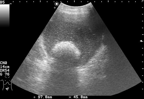
УЗИ: дермоидная киста яичника

Матка и придатки. Молочные железы.
Только верифицированые изображения
Ответить
Аватара пользователя
Dr Alex
Сообщения: 19
Зарегистрирован: 31 окт 2010, 11:02
Контактная информация:

УЗИ: дермоидная киста яичника

Сообщение Dr Alex »

Женщина средних лет, лечилась в гастро- отделении, скрининговый осмотр низа живота.
Вложения
AACF.jpg
Алекс-Юстасу.
Аватара пользователя
Dr Alex
Сообщения: 19
Зарегистрирован: 31 окт 2010, 11:02
Контактная информация:

Re: УЗИ ОБП (низ живота)

Сообщение Dr Alex »

Это - дермоид яичника.
Больная оперирована в гинекологическом отделении.
Алекс-Юстасу.
Ответить

Вернуться в «Гинекологические исследования»

Кто сейчас на конференции

Сейчас этот форум просматривают: нет зарегистрированных пользователей и 1 гость