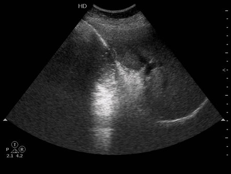
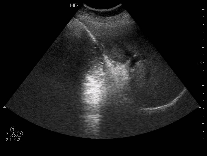
УЗИ желчного пузыря: острый эмфизематозный холецистит

Печень, желчный пузырь, поджелудочная железа, селезенка. Кишечник.
Только верифицированые изображения
Ответить
Аватара пользователя
KsV
Администратор
Сообщения: 2191
Зарегистрирован: 22 фев 2009, 13:38
Откуда: Беларусь-Lietuva
Контактная информация:

УЗИ желчного пузыря: острый эмфизематозный холецистит

Сообщение KsV »

Пожилая женщина с болями в правом подреберье, высокой температурой.
12-10-17-112958_8478.jpg
phpBB [video]

phpBB [video]


Ваше заключение?

Tags: acute emphysematous cholecystitis, ultrasonography, sonography
porfirij
Сообщения: 9
Зарегистрирован: 18 окт 2012, 22:05
Контактная информация:

Re: УЗИ желчного пузыря

Сообщение porfirij »

Деструктивный холецистит. Газ в просвете желчного пузыря.
Serg
Сообщения: 252
Зарегистрирован: 15 июн 2011, 20:52
Контактная информация:

Re: УЗИ желчного пузыря

Сообщение Serg »

гангренозный холецистит, перфорация передней стенки?
Аватара пользователя
dok69
Сообщения: 137
Зарегистрирован: 19 дек 2009, 19:32
Откуда: г.Бобруйск
Контактная информация:

Re: УЗИ желчного пузыря

Сообщение dok69 »

:)
http://endosono.ru
*****************************************
Странный этот мир, в котором двое смотрят на одно и тоже, а видят разное.
Агата Кристи.
Аватара пользователя
KsV
Администратор
Сообщения: 2191
Зарегистрирован: 22 фев 2009, 13:38
Откуда: Беларусь-Lietuva
Контактная информация:

Re: УЗИ желчного пузыря

Сообщение KsV »

Все верно, острый эмфизематозный холецистит.

На операции диагноз подтвердился.
porfirij
Сообщения: 9
Зарегистрирован: 18 окт 2012, 22:05
Контактная информация:

Re: УЗИ желчного пузыря: острый эмфизематозный холецистит

Сообщение porfirij »

Спасибо, Сергей Васильевич, за прекрасную задачу. Большой привет от хирургов из Могилева. Всегда вспоминаю занятия, которые вы проводили с нашей группой в 2011 году, с большим удовольствием.
Последний раз редактировалось porfirij 23 окт 2012, 20:38, всего редактировалось 1 раз.
Аватара пользователя
KsV
Администратор
Сообщения: 2191
Зарегистрирован: 22 фев 2009, 13:38
Откуда: Беларусь-Lietuva
Контактная информация:

Re: УЗИ желчного пузыря: острый эмфизематозный холецистит

Сообщение KsV »

porfirij писал(а):Спасибо, Сергей Васильевич, за прекрасную задачу. Большой привет от хирургов из Могилева. Всегда вспоминаю занятия, которые вы проводили с нашей группой в 2011 году с большим удовольствием.
Спасибо за доброе слово.
Похоже, что чему-то мы здесь вас учим, раз правильно видите патологию.

)
Ответить

Вернуться в «Абдоминальные исследования»

Кто сейчас на конференции

Сейчас этот форум просматривают: нет зарегистрированных пользователей и 2 гостя