УЗИ холедоха: pus, а не опухоль
- KsV
- Администратор
- Сообщения: 2189
- Зарегистрирован: 22 фев 2009, 13:38
- Откуда: Беларусь-Lietuva
- Контактная информация:
УЗИ холедоха: pus, а не опухоль
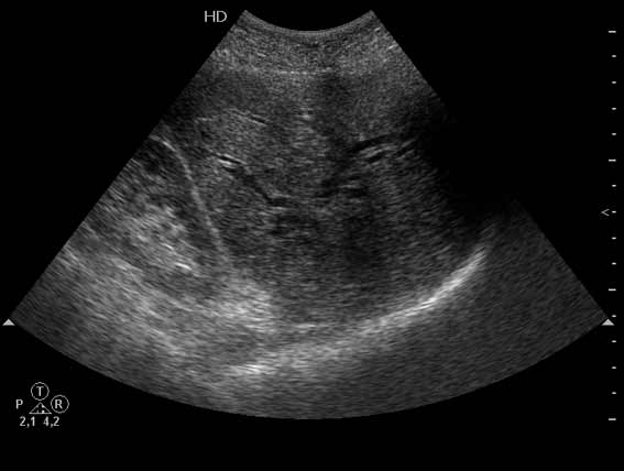
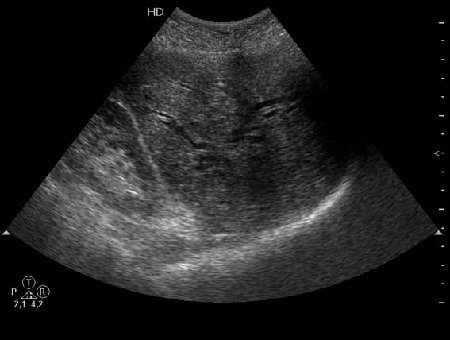
Очень пожилая женщина, обратилась в стационар из-за появления желтухи. Периодически беспокоили боли в эпигастрии и правом подреберье.
Желчный пузырь удален по поводу ЖКБ лет двадцать назад.
Желчный пузырь удален по поводу ЖКБ лет двадцать назад.
Re: Женщина с желтухой
Не могу сказать что я вижу камень в холедохе на представленных сонограммах. Холедох расширен; интра-печёночные жёлчные пути тоже (значит прошло > 3 недель от момента обструкции). Жалоб на сильные приступообразные боли я не прочёл. Всё таки буду думать сначала о опухоли (если при УЗИ не нашли камня); рекомендация-таргетное КТ печени и поджелудочной.
-
А.М.Шифрин
- Сообщения: 60
- Зарегистрирован: 12 апр 2009, 18:41
- Контактная информация:
Re: Женщина с желтухой
Конкремента, действительно, не видно. Вероятно, препятствие где-то в устье холедоха (кстати, что там с вирсунговым протоком). Может быть, начать с ФГДС с оценкой состояния БДС (при необходимости - ретроградная холедохография).Dr.Mario писал(а):Не могу сказать что я вижу камень в холедохе... Холедох расширен; интра-печёночные жёлчные пути тоже Всё таки буду думать сначала о опухоли (если при УЗИ не нашли камня); рекомендация-таргетное КТ печени и поджелудочной.
- KsV
- Администратор
- Сообщения: 2189
- Зарегистрирован: 22 фев 2009, 13:38
- Откуда: Беларусь-Lietuva
- Контактная информация:
Re: Женщина с желтухой
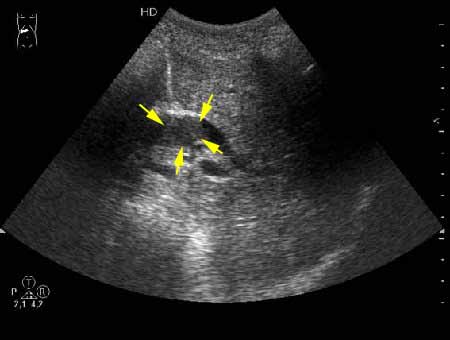
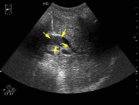
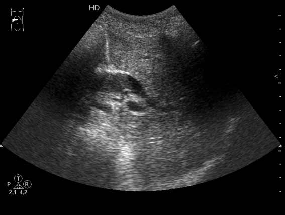
Дело в том, что в холедохе имеется нечто изоэхогенное (не знаю, видно ли это нечто на ваших мониторах). Врач УЗИ при осмотре перед поступлением в стационар на основании этой картины в заключении отметил возможность опухоли холедоха.
-
А.М.Шифрин
- Сообщения: 60
- Зарегистрирован: 12 апр 2009, 18:41
- Контактная информация:
Re: Женщина с желтухой
К сожаления, практически не видно. Если Вас не затруднит, пометьте стрелкой зону интереса.
- KsV
- Администратор
- Сообщения: 2189
- Зарегистрирован: 22 фев 2009, 13:38
- Откуда: Беларусь-Lietuva
- Контактная информация:
Re: Женщина с желтухой
А.М.Шифрин писал(а):К сожаления, практически не видно. Если Вас не затруднит, пометьте стрелкой зону интереса.
-
А.М.Шифрин
- Сообщения: 60
- Зарегистрирован: 12 апр 2009, 18:41
- Контактная информация:
Re: Женщина с желтухой
Спасибо. Но даже по наводке визуализация очень нечеткая. Наверное, такие фото с очень "нежными" включаниями должны идти с максимальным качеством (а еще лучше видеоролик).
- KsV
- Администратор
- Сообщения: 2189
- Зарегистрирован: 22 фев 2009, 13:38
- Откуда: Беларусь-Lietuva
- Контактная информация:
Re: Женщина с желтухой
Гнойный холангит на фоне обструкции БДС конкрементом (камень вне скана). В холедохе определяется желчь с осадком, которая может быть ошибочно принята за его опухоль.
Кто сейчас на конференции
Сейчас этот форум просматривают: нет зарегистрированных пользователей и 1 гость