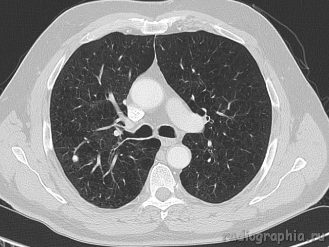
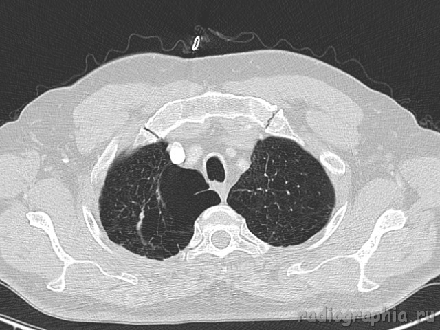
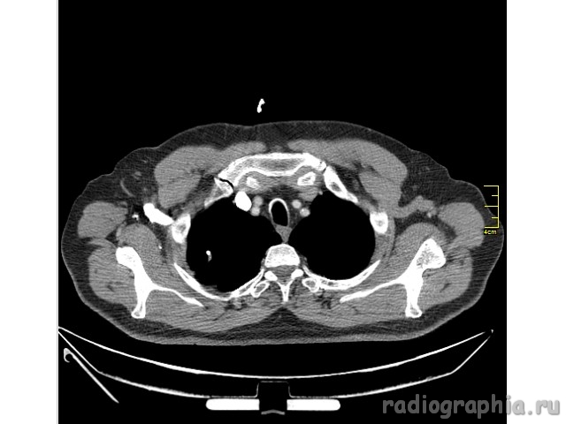
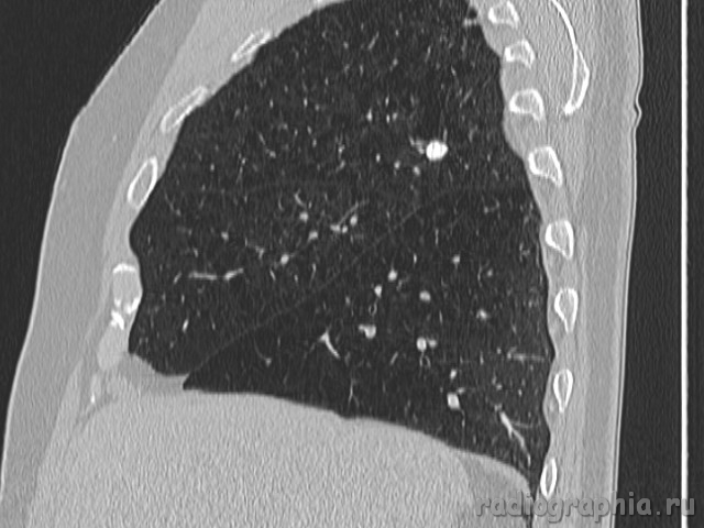
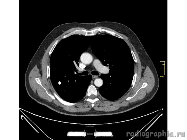
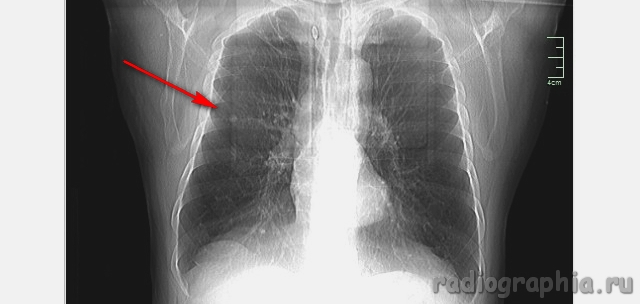
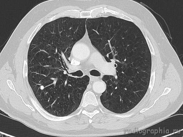
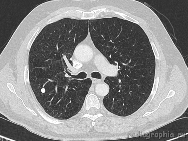
Одиночный узел правого лёгкого.

Изображения для консультации
Ответить
Аватара пользователя
Dr.Mario
Эксперт
Сообщения: 160
Зарегистрирован: 17 мар 2009, 07:36
Контактная информация:

Одиночный узел правого лёгкого.

Сообщение Dr.Mario »

На рутинном снимке ОГК, был выявлен одиночный узел; по протоколу выполнили КТ. Какое было бы ваше заключение; и как бы Вы поступили если у вас нет возможности выполнять КТ?
Вложения
Routine Chest X-Ray. SPN (solitary pulmonary nodule-red arrow)
Routine Chest X-Ray. SPN (solitary pulmonary nodule-red arrow)
SPN1.jpg
SPN2.jpg
SPN3.jpg
SPN4.jpg
SPN5.jpg
SPN6.jpg
SPN7.jpg
SPN8.jpg
Let me see...
www.radiographia.ru
Ответить

Вернуться в «Легкие, грудная клетка»

Кто сейчас на конференции

Сейчас этот форум просматривают: нет зарегистрированных пользователей и 1 гость