образование почки?

Почки, мочеточники, мочевой пузырь, уретра. Простата и яички.
Изображения для консультации

Модератор: KsV

Ответить
Аватара пользователя
dok333
Сообщения: 142
Зарегистрирован: 29 окт 2010, 09:59
Откуда: Ukraine,Kharkiv
Контактная информация:

образование почки?

Сообщение dok333 »

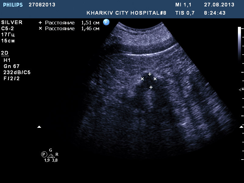
собственно такая картина.
если мой прицел не сбился, вероятно ПКР.
Рекомендовал КТ.

phpBB [video]

phpBB [video]
Вложения
1.jpg
2.jpg
3.jpg
Последний раз редактировалось dok333 27 сен 2013, 07:50, всего редактировалось 3 раза.
Аватара пользователя
KsV
Администратор
Сообщения: 2189
Зарегистрирован: 22 фев 2009, 13:38
Откуда: Беларусь-Lietuva
Контактная информация:

Re: образование почки?

Сообщение KsV »

Хотелось бы видео продольного сканирования почки (как сонограммы 1 и 2) в полном объеме - от передней до задней поверхности.
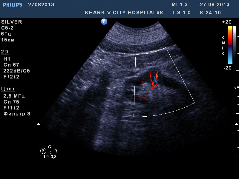
Сосудистый рисунок сохранен на сонограммах 1 и 2.
КТ назначено правильно, т.к. нужно развеять все подозрения.
Аватара пользователя
dok333
Сообщения: 142
Зарегистрирован: 29 окт 2010, 09:59
Откуда: Ukraine,Kharkiv
Контактная информация:

Re: образование почки?

Сообщение dok333 »

phpBB [video]

phpBB [video]
Аватара пользователя
KsV
Администратор
Сообщения: 2189
Зарегистрирован: 22 фев 2009, 13:38
Откуда: Беларусь-Lietuva
Контактная информация:

Re: образование почки?

Сообщение KsV »

Подождем КТ с контрастированием.
Аватара пользователя
dok333
Сообщения: 142
Зарегистрирован: 29 окт 2010, 09:59
Откуда: Ukraine,Kharkiv
Контактная информация:

Re: образование почки?

Сообщение dok333 »

я понял, Вы сомневаетесь) Думаете это паренхима?

У меня нет обр.связи с пациентом( Когда появится и появится ли неизвестно.
Аватара пользователя
KsV
Администратор
Сообщения: 2189
Зарегистрирован: 22 фев 2009, 13:38
Откуда: Беларусь-Lietuva
Контактная информация:

Re: образование почки?

Сообщение KsV »

Да, я не очень уверен.
Почка на экране занимает немного места (на мой вкус нужно было бы увеличить масштаб картинки при исследовании) + ютуб "пережал" видео (лезут пиксели).

Поэтому Ваше мнение - самое правильное, т.к. Вы проводили исследование и Ваше впечатление основывается на нативных изображениях.

В любом случае тактика в отношении КТ верная и данные КТ расставят точки над i.
Аватара пользователя
dok333
Сообщения: 142
Зарегистрирован: 29 окт 2010, 09:59
Откуда: Ukraine,Kharkiv
Контактная информация:

Re: образование почки?

Сообщение dok333 »

Спасибо. Золотой стандарт КТ мне в помосчь)
Ответить

Вернуться в «Уронефрологические исследования»

Кто сейчас на конференции

Сейчас этот форум просматривают: нет зарегистрированных пользователей и 1 гость